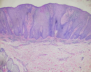
Mulher, 49 anos, veio para consulta com histórico de pápula assintomática em forma de cúpula vermelha na região torácica esquerda há três anos. A lesão aumentou lentamente (fig. 1). A paciente não apresentava histórico médico ou familiar relevante. A dermatoscopia mostrou vasos glomerulares e puntiformes com arranjo em “colar de pérolas” e um colarete de escamas ao redor (fig. 2). A biópsia excisional da lesão e o exame histopatológico evidenciaram hiperplasia epidérmica psoriasiforme nitidamente demarcada, composta por ceratinócitos claros ligeiramente aumentados e células basais com citoplasma de coloração pálida, vasos sanguíneos dilatados nas papilas dérmicas e infiltrado inflamatório perivascular (fig. 3). Foi feito o diagnóstico de acantoma de células claras (ACC), sem recorrência quatro meses após a excisão.
Exame histopatológico evidencia hiperplasia epidérmica psoriasiforme nitidamente demarcada, composta por queratinócitos claros e células basais com citoplasma de coloração pálida, vasos sanguíneos dilatados nas papilas dérmicas e infiltrado inflamatório perivascular misto. (Hematoxilina & eosina, 40×).
O ACC, também conhecido como acantoma de Degos, é uma entidade clínica rara descrita pela primeira vez por Degos em 1962.1 Sua etiologia ainda não é claramente conhecida. É tradicionalmente considerado uma forma benigna de neoplasia epidérmica. Por outro lado, especula‐se que o ACC possa ser uma dermatose inflamatória reacional ou uma forma localizada de psoríase.2 O ACC geralmente surge nas extremidades inferiores, caracterizado por uma única pápula ou nódulo assintomático, marrom‐avermelhado, em forma de cúpula, frequentemente coberto por um delicado colarete de escamas. Além disso, tipos gigantes, pedunculados, múltiplos, císticos e pigmentados podem ser observados. As características histopatológicas incluem uma área bem demarcada de acantose psoriasiforme com queratinócitos e citoplasma de coloração pálida, edema intercelular, microabcessos paraqueratóticos e derme papilar edemaciada, além de capilares e veias superficiais aumentados. O diagnóstico de ACC deve ser diferenciado de ceratoses actínicas ou seborreicas, carcinoma basocelular, carcinoma espinocelular, granuloma piogênico, hidradenoma de células claras e melanoma amelanótico.
À dermatoscopia, o ACC tem apresentação peculiar, que ajuda a melhorar a precisão do diagnóstico, caracterizada por pontos vermelhos, glóbulos e vasos glomerulares dispostos em arranjo linear ou serpiginoso, além de um colarete periférico de escamas.3 A característica dermatoscópica de “colar de pérolas” corresponde à histopatologia do ACC em cortes transversais, com ilhas epiteliais de tamanho uniforme na derme em distribuição semelhante a um cordão e vários capilares dilatados.4 No entanto, Espinosa relatou recentemente que a característica dermatoscópica de arranjo em “colar de pérolas” também é observada na ceratose seborreica e na ceratose liquenoide; esse autor sugeriu que outros tumores epidérmicos, especialmente aqueles com padrão histopatológico semelhante, também possam mostrar esse padrão dermatoscópico.5 Portanto, a biópsia ainda não pode ser descartada para confirmar o diagnóstico de ACC.
Suporte financeiroNenhum.
Contribuição dos autoresLi‐wen Zhang: Concepção e planejamento do estudo; obtenção, análise e interpretação dos dados; revisão crítica da literatura.
Wen‐ju Wang: Concepção e planejamento do estudo.
Cong‐hui Li: Revisão crítica da literatura.
Tao Chen: Revisão crítica do manuscrito.
Conflitos de interesseNenhum.
Como citar este artigo: Zhang L‐W, Wang W‐J, Li C‐H, Chen T. The string of pearls pattern in dermoscopy of a chest papule. An Bras Dermatol. 2020;95:392–3.
Trabalho realizado no Departamento de Dermatovenereologia, Chengdu Second People’s Hospital, Chengdu, Sichuan, China.




