O carcinoma basocelular (CBC) polipoide é entidade rara e clinicamente distinta dos demais subtipos de CBC, por ser pedunculado e conectado por uma haste à superfície da pele, além de, histologicamente, exibir os agregados tumorais restritos à área polipoide exofítica.1
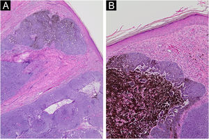
Paciente do sexo masculino, caucasiano, 69 anos, referiu lesão pigmentada de rápido crescimento há cerca de um ano na face lateral da perna direita (fig. 1), que associou a trauma local. O paciente negou excesso de exposição solar. Ao exame dermatológico, apresentava tumoração de superfície eritematosa e brilhante no centro e pigmentada na periferia, medindo 40mm no maior diâmetro, de consistência fibrosa, pedunculada e transluminescente (fig. 2A). A dermatoscopia evidenciou grandes ninhos ovoides azuis‐acinzentados na periferia da lesão e linhas brancas curtas (crisálidas) por toda a superfície, mas sem telangiectasias arboriformes (fig. 2B). Notou‐se ausência de linfonodomegalias. Seguida a exérese, o estudo anatomopatológico mostrou, em visão panorâmica, uma tumoração polipoide composta por agregações neoplásicas basaloides com paliçada periférica, variadas em tamanho e forma, que se limitavam à parte superior e média da neoplasia (fig. 3), e áreas pigmentadas observadas em detalhes (fig. 4A‐B). Os marcadores imuno‐histoquímicos Melan‐A e HMB45 foram negativos. Concluiu‐se tratar de CBC nodular, cribriforme e cístico, pigmentado, com margens cirúrgicas livres. A opção pelo fechamento por segunda intenção até confirmação diagnóstica resultou em boa evolução, sem sinais de recidiva ou metástase até três meses de seguimento.
A combinação de revisões da literatura de língua inglesa e japonesa registrou pouco mais de 30 casos. Nessas revisões, o tamanho médio do maior diâmetro dos pólipos foi considerado grande, de 28mm e 31mm, respectivamente, variando entre 10mm e 80mm em seu maior diâmetro.2,3
Apesar da dimensão vultosa, a maioria das lesões apresentava nódulos bem circunscritos, sem padrão de infiltração agressiva, e a neoplasia restrita à área polipoide. Distintamente, a localização desses CBC polipoides predominou no couro cabeludo e nas regiões genital, perianal ou glútea, seguida do tronco, face e região periótica, e 13% dos casos nas extremidades.3,4
O formato polipoide, séssil ou pedunculado da neoplasia deve ser diferenciado do fibroepitelioma de Pinkus, uma variante do espectro entre o CBC e o tricoblastoma e de histopatologia peculiar e inconfundível.5
O CBC polipoide tem sido reconhecido como variante do CBC nodular com base em suas peculiaridades clínicas, morfológicas e histopatológicas. Além disso, suas localizações preferenciais sugerem outros fatores etiológicos, além da reconhecida exposição à radiação ultravioleta associada aos CBC.1–4
Suporte financeiroNenhum.
Contribuição dos autoresBruno de Carvalho Fantini: Desenho do estudo de caso, levantamento dos dados, obtenção, ou análise e interpretação dos dados; participação intelectual em conduta propedêutica e/ou terapêutica do caso estudado; aprovação final da versão final do manuscrito.
Cecilia Anatriello dos Santos: Levantamento dos dados, obtenção, ou análise e interpretação dos dados; participação intelectual em conduta propedêutica e/ou terapêutica do caso estudado; aprovação final da versão final do manuscrito.
Sebastião Antônio de Barros Junior: Levantamento dos dados, obtenção, ou análise e interpretação dos dados; aprovação final da versão final do manuscrito.
Cacilda da Silva Souza: Concepção e o desenho do estudo de caso; levantamento dos dados, obtenção ou análise e interpretação dos dados; redação do artigo ou revisão crítica do conteúdo intelectual; participação intelectual em conduta propedêutica e/ou terapêutica do caso estudado; revisão crítica da literatura; aprovação final da versão final do manuscrito.
Conflito de interessesNenhum.
Como citar este artigo: Fantini BC, Santos CA, Barros Junior SA, Silva Souza C. Pigmented polypoid basal cell carcinoma: a rare clinicopathological variant. An Bras Dermatol. 2024;99:755–7.
Trabalho realizado no Hospital das Clínicas, Faculdade de Medicina de Ribeirão Preto, Universidade de São Paulo, Ribeirão Preto, SP, Brasil.





