O carcinoma de células de Merkel (CCM) é uma neoplasia cutânea primária neuroendócrina de comportamento agressivo. Apresenta alto risco de recidiva local, além de acometimento de linfonodos e metástase à distância, o que explica sua alta letalidade e justifica seu reconhecimento e tratamento precoces.
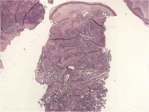
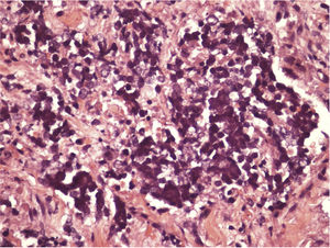
Homem branco de 67 anos procurou o ambulatório de dermatologia com antecedente pessoal de hipertensão arterial sistêmica, diabetes mellitus tipo 2 e dislipidemia, em uso de insulina, losartana, hidroclorotiazida, atenolol, ácido acetilsalicílico, rosuvastatina e fibrato, após seis meses de evolução de nódulo eritêmato‐violáceo (fig. 1), assintomático, de crescimento rápido, que media 3cm2, na perna direita, sem linfadenomegalias palpáveis. A biópsia incisional (figs. 2 e 3) da lesão revelou, na histopatologia, tumor dérmico com arranjo trabecular, composto por pequenas células azuis com citoplasma escasso e núcleo compacto. A imuno‐histoquímica foi positiva para cromogranina e citoqueratina 20, firmando diagnóstico de CCM. No retorno ambulatorial, solicitamos tomografia computadorizada de tórax, abdômen e pelve, que não evidenciou comprometimento de órgãos internos ou linfadenomegalias. Os testes para imunossupressão e as sorologias eram todos negativos. Em seguida, o paciente foi enviado para cirurgia oncológica, que fez pesquisa de linfonodo sentinela, sem evidência de comprometimento neoplásico. Foi feita exérese ampla, medindo 7,7 × 6,8 × 0,8cm, e a histopatologia demonstrou CCM com margens de resseção livres de comprometimento.
O CCM é uma neoplasia maligna neuroendócrina cutânea rara, agressiva e com aumento significativo nas taxas de incidência nos últimos anos, que se apresenta como pápula ou nódulo eritemato‐violáceo, geralmente indolor e de crescimento rápido. Aparece mais frequentemente em áreas expostas ao sol, como cabeça e pescoço, ocorrendo também em extremidades, tronco e genitália.1
O CCM acomete mais homens (relação homem:mulher de 1,5‐2:1), idosos, com média de 73 anos no sexo masculino e 76 no feminino, e imunocomprometidos, como receptores de transplante e portadores de HIV, nos quais geralmente ocorre 10 anos antes do que a média.2
Em 2008, o CCM foi relacionado à infecção pelo Polyomaviridae em 80% dos casos, ao ser identificado em células tumorais sequências de DNA de um novo poliomavírus humano – denominado poliomavírus das células de Merkel. A frequência desses poliomavírus varia de 9% em indivíduos de um a 4 anos a 80% em indivíduos com mais de 50 anos.3 Mais recentemente, foi relatado um aumento de casos de CCM em indivíduos mais jovens usuários de estatina.4
A estatina tem sido amplamente usada devido a seu efeito na redução do colesterol no sangue e por ter um papel bem estabelecido na prevenção de eventos cardiovasculares e cerebrovasculares. Apresenta, ainda, efeito imunomodulador na regulação negativa da expressão do MHCII, com uma mudança da resposta Th1 (células T auxiliares) para Th2, que leva ao aumento de células B, ativa a produção de anticorpos em excesso, além de exercer efeito inibitório em células natural killer, cruciais para a imunidade natural contra patógenos intracelulares, o que compromete a vigilância imune contra infecções virais e predispõe à proliferação das células tumorais.5
Desse modo, é possível inferir que as estatinas predispõem à infecção pelo Polyomaviridae e à consequente proliferação de células tumorais do CCM, fenômeno semelhante ao que ocorre com imunocomprometidos.
Devido à raridade do tumor, não existe um tratamento padrão. O que se preconiza é a excisão cirúrgica ampla com margens livres de 2cm e radioterapia adjuvante ou isolada.5
Relata‐se um caso de CCM em paciente imunocompetente, com idade ao diagnóstico inferior à da média dos diagnosticados com CCM, sem história de outros cânceres de pele e usuário crônico de estatina, o que fortalece a correlação existente entre o CCM e o uso de estatinas.
Suporte financeiroNenhum.
Contribuição dos autoresIsaura Azevedo Fasciani: Elaboração e redação do manuscrito.
Luisa Groba Bandeira: Obtenção, análise e interpretação dos dados; revisão crítica do manuscrito.
Neusa Yuriko Sakai Valente: Aprovação da versão final do manuscrito; participação efetiva na orientação da pesquisa; revisão crítica da literatura; revisão crítica do manuscrito.
Maria Fernanda Vieira Cunha Camargo: Concepção e planejamento do estudo; obtenção, análise e interpretação dos dados; revisão crítica da literatura.
Conflitos de interesseNenhum.
Como citar este artigo: Fasciani IA, Bandeira LG, Valente NYS, Camargo MFVC. Merkel cell carcinoma in an immunocompectent male statin user. An Bras Dermatol. 2019;94:764–5.
Trabalho realizado no Hospital do Servidor Público Estadual, Instituto de Assistência Médica ao Servidor Público Estadual, São Paulo, SP, Brasil.




