A Síndrome de Muir‐Torre é uma genodermatose rara, autossômica dominante, caracterizada por neoplasias sebáceas e carcinomas viscerais. Descrevemos paciente que, após 16 anos do diagnóstico de carcinoma de cólon, apresentou placa verrucosa em região púbica, cuja histopatologia foi compatível com adenoma sebáceo. Ressalta‐se a necessidade de investigação dessa síndrome, principalmente nos casos de neoplasias sebáceas localizadas fora do segmento cefálico. O rastreamento de neoplasias nestes pacientes e nos seus familiares é mandatório.
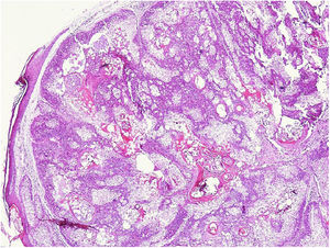
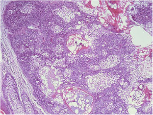
Paciente do sexo feminino, 79 anos de idade, apresentava placa verrucosa, eritematosa e indolor na região pubiana há dois anos (fig. 1). Apresentava duas lesões semelhantes na face. À dermatoscopia, notaram‐se glóbulos amarelados num fundo vermelho leitoso. A paciente tinha antecedente pessoal de câncer de cólon ascendente há 16 anos e carcinoma papilífero de bexiga há 24 anos. Mãe falecida em decorrência de câncer de cólon. Realizada exérese das lesões, cuja análise histopatológica revelou neoplasia lobular conectada à epiderme com numerosas células de citoplasma multivacuolizado e células menores não vacuolizadas na periferia dos lóbulos (figs. 2 e 3).
- a)
Melanoma amelanótico
- b)
Condiloma acuminado
- c)
Carcinoma espinocelular
- d)
Adenoma sebáceo
Mediante achados clínicos e histopatológicos, o diagnóstico deste caso foi adenoma sebáceo em paciente com síndrome de Muir‐Torre (SMT). Os tumores sebáceos são raros, mais comumente localizados na face e no pescoço de idosos.1 Não há achados específicos à dermatoscopia, embora glóbulos amarelados num fundo vermelho‐leitoso sejam achados comuns das neoplasias com diferenciação sebácea.2,3 Raramente são múltiplos ou encontrados abaixo do segmento cefálico – nesses casos, a possibilidade da SMT aumenta.
O diagnóstico de neoplasia sebácea torna imperativa a pesquisa da SMT, que é uma variante rara da síndrome de Lynch, autossômica dominante, caracterizada pela ocorrência de tumores das glândulas sebáceas (adenoma, sebaceoma ou carcinoma sebáceo) associados à neoplasia visceral. Dentre os tumores sebáceos relacionados à SMT, o adenoma é o mais comum, caracterizado histologicamente por proliferação lobular com predomínio de sebócitos maduros no centro e uma minoria de células germinativas basaloides na periferia. O adenocarcinoma de cólon é a neoplasia visceral mais frequente, principalmente quando proximal à flexura esplênica (diferentemente dos casos esporádicos), seguida dos tumores do trato geniturinário.4 As mutações responsáveis pela síndrome ocorrem nos genes de reparo do DNA, nomeados MLH1 (MutL Homolog 1), MSH2 (MutS Homolog 2), MSH6 (MutS Homolog 6) e PSM2 (Postmeiotic Segregation Increased 2).4,5 Os genes de reparo codificam as proteínas responsáveis por identificar e corrigir erros durante a replicação do DNA. A perda da expressão do produto desses genes pode ser evidenciada com o uso da imuno‐histoquímica, e é uma das ferramentas usadas para confirmar a SMT. As mutações mais frequentes ocorrem no MSH2 (90% dos pacientes com SMT).
O diagnóstico da SMT é clínico, mediante o achado de neoplasia sebácea e de pelo menos um tumor visceral sem outros fatores contribuintes, como radioterapia ou imunossupressão. A imuno‐histoquímica e a análise molecular são indicadas nos casos em que não há história familiar ou pessoal de neoplasias viscerais.
Relatamos um caso de adenoma sebáceo com localização incomum na região púbica em paciente com câncer de cólon e bexiga. Ressalta‐se a importância da investigação de neoplasias sistêmicas associadas à SMT e o acompanhamento desses pacientes e de seus familiares.
Suporte financeiroNenhum.
Contribuição dos autoresDiego Henrique Morais Silva: Aprovação da versão final do manuscrito; concepção e planejamento do estudo; elaboração e redação do manuscrito; obtenção, análise e interpretação dos dados; participação intelectual em conduta propedêutica e/ou terapêutica de casos estudados; revisão crítica da literatura; revisão crítica do manuscrito.
Anna Karoline Gouveia de Oliveira: Concepção e planejamento do estudo; obtenção, análise e interpretação dos dados.
Neusa Yuriko Sakai Valente: Aprovação da versão final do manuscrito; participação efetiva na orientação da pesquisa; participação intelectual em conduta propedêutica e/ou terapêutica de casos estudados; revisão crítica do manuscrito.
Thais do Amaral Carneiro Cunha: Aprovação da versão final do manuscrito; participação intelectual em conduta propedêutica e/ou terapêutica de casos estudados.
Conflito de interessesNenhum.




