Mulher de 41 anos procurou o serviço com queixa de nódulos subcutâneos assintomáticos no antebraço direito. Ela havia sido diagnosticada com síndrome de Cushing em virtude de um tumor adrenal, cinco meses antes. Após ter sido submetida à cirurgia em razão do tumor suprarrenal, os nódulos subcutâneos aumentaram gradualmente em número. O exame físico mostrou indurações subcutâneas em forma de placas mal definidas nas extremidades inferiores bilaterais, nádegas e antebraço direito. Uma biópsia de uma das indurações subcutâneas mostrou granulomas de células epitelioides não caseosos afetando a hipoderme e o tecido subcutâneo. A paciente foi diagnosticada com sarcoidose com base nos critérios da Japan Society of Sarcoidosis and Other Granulomatous Disorders de 2015. As lesões cutâneas diminuíram de tamanho e desapareceram completamente. Embora o mecanismo seja desconhecido, pode haver a possibilidade de que a atividade da sarcoidose seja suprimida por altas concentrações de cortisol em virtude da síndrome de Cushing.
Há muitas doenças relacionadas ao sistema imunológico que se relataram em pacientes com síndrome de Cushing após o tratamento, incluindo artrite, vasculite, doença celíaca, lúpus eritematoso sistêmico e sarcoidose. Este relato descreve um caso de sarcoidose com síndrome de Cushing, juntamente com a literatura relevante.
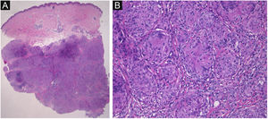
Mulher de 41 anos (pele tipo III de Fitzpatrick) procurou o serviço com queixa de nódulos subcutâneos assintomáticos no antebraço direito. Ela apresentava histórico de hipertensão familiar; cinco meses antes, ela havia sido diagnosticada com síndrome de Cushing em virtude de um tumor adrenal. Naquela época, a paciente notou pela primeira vez os nódulos subcutâneos. Após a cirurgia do tumor adrenal, os nódulos subcutâneos aumentaram gradativamente, apesar de estar em uso de hidrocortisona oral 10mg/dia. O exame físico mostrou indurações subcutâneas em forma de placa mal definidas nas extremidades inferiores bilaterais, nádegas e antebraço direito (fig. 1). Não havia linfadenopatia palpável. A biópsia de uma das indurações subcutâneas evidenciou a presença de granulomas não caseosos de células epitelioides afetando os tecidos subcutâneos (fig. 2). A radiografia de tórax mostrou linfadenopatia hilar bilateral, e a tomografia computadorizada revelou linfadenopatia mediastinal. O exame laboratorial mostrou função hepática e renal normais, bem como níveis elevados de enzima conversora de angiotensina (38,2 UI/L; normal: 7‐25) e receptor solúvel de interleucina‐2 (937 U/mL; normal: 121‐613). Embora exames adicionais tivessem excluído sarcoidose cardíaca e ocular, a paciente foi diagnosticada como portadora de sarcoidose, com base nos critérios da Japan Society of Sarcoidosis and Other Granulomatous Disorders de 2015. As lesões cutâneas foram monitoradas, e a paciente recebeu administração contínua de hidrocortisona oral todos os dias, cuja dose foi diminuída ao longo de um período de seis meses após a cirurgia. Durante o mesmo período, as lesões cutâneas diminuíram de tamanho e desapareceram completamente 20 meses após a cirurgia.
DiscussãoHá várias doenças imunológicas relatadas em pacientes com síndrome de Cushing após o tratamento, incluindo artrite, vasculite, doença celíaca, lúpus eritematoso sistêmico e sarcoidose.1 Até o momento, alguns casos de coexistência de sarcoidose e síndrome de Cushing, com sarcoidose cutânea, foram relatados. A ocorrência da sarcoidose subcutânea é relatada em 1,4 a 6% dos pacientes com sarcoidose sistêmica. Vários casos de sarcoidose que se desenvolveram após o tratamento da síndrome de Cushing foram relatados;1–10 entretanto, nossa paciente notou nódulos subcutâneos em seu antebraço na mesma época em que foi diagnosticada com síndrome de Cushing.
Na revisão da literatura, dez relatos de casos de sarcoidose após tratamento para síndrome de Cushing foram encontrados na base de dados PubMed, entre 1967 e 2020. Os termos utilizados foram “Cushing” e “sarcoidosis”. As características clínicas desses relatos de caso1–10 e do presente caso são apresentadas na tabela 1. Os relatos de casos anteriores incluíram um homem e nove mulheres com média de idade de 37 anos (variação de 27 a 45 anos). O diagnóstico de síndrome de Cushing foi feito em todos os casos. O tempo médio para o início dos sintomas de sarcoidose após o tratamento da síndrome de Cushing foi de cinco meses (variação de 1 a 72 meses). Todos os pacientes apresentavam nódulos subcutâneos como sinais de sarcoidose. Dois pacientes também apresentaram eritema nodoso, indicando sarcoidose. Nove pacientes apresentaram complicações pulmonares, e apenas um paciente apresentou complicações oculares. Nenhum paciente apresentou complicações cardíacas. Após o tratamento da síndrome de Cushing, a sarcoidose subcutânea foi relatada com maior frequência do que qualquer outra forma de sarcoidose cutânea.
Características clínicas de relatos semelhantes e o presente caso
| Autores | Sexo | Idade | Doença subjacente | Órgãos afetados | Latência (meses) | Caraterísticas clínicas |
|---|---|---|---|---|---|---|
| Bongetta et al.1 | F | 33 | AP | Pulmões e pele | 12 | Nódulos subcutâneos |
| Noreña et al.2 | F | 45 | AA | Pulmões e pele | 5 | Hipercalcemia, artralgia, nódulos subcutâneos |
| Fichtel et al.3 | F | 42 | AP | Pele | 3 | Nódulos subcutâneos, cicatrizes hipertróficas rosadas |
| Diernaes et al.4 | F | 45 | AP | Pulmões e pele | 3 | Eritema nodoso, nódulos subcutâneos dolorosos |
| Takenaka et al.5 | F | 32 | AP | Pulmões, olhos, e pele | 72 | Eritema nodoso, nódulos subcutâneos, uveíte granulomatosa |
| Tanaka et al.6 | F | 37 | AA | Pulmões e pele | 24 | Nódulos subcutâneos |
| Steuer et al.7 | F | 42 | AA | Pulmões e pele | 1.5 | Nódulos subcutâneos |
| Schaefer et al.8 | F | 32 | AA | Pulmões e pele | 1 | Nódulos subcutâneos, rigidez, e artralgia |
| Marzano et al.9 | F | 33 | AP | Pulmões e pele | 2 | Nódulos subcutâneos |
| da Mota et al.10 | M | 27 | AP | Pulmões e pele | 12 | Nódulos subcutâneos |
| Presente caso | F | 41 | AA | Pulmões e pele | 1 | Nódulos subcutâneos |
F, feminino; M, masculino; AP, adenoma pituitário; AA, adenoma adrenal.
Embora o mecanismo seja desconhecido, pode haver a possibilidade de que a atividade da sarcoidose seja suprimida por altas concentrações de cortisol em virtude da síndrome de Cushing. No presente caso, talvez a melhora dos níveis de cortisol após a cirurgia do tumor adrenal possa ter resultado em um caso mais claramente identificável de sarcoidose. Pacientes com síndrome de Cushing precisam ser cuidadosamente acompanhados após o tratamento, pois podem desenvolver sarcoidose, que pode passar despercebida na ausência das lesões cutâneas características.
Suporte financeiroNenhum.
Contribuição dos autoresKinuko Irie: Projetou o estudo; realizou a pesquisa e contribuiu para a análise e interpretação dos dados; redigiu a versão inicial do manuscrito; leu e aprovou a versão final do manuscrito.
Toshiyuki Yamamoto: Projetou o estudo; auxiliou na preparação do manuscrito; leu e aprovou a versão final do manuscrito.
Conflito de interessesNenhum.



