Menina de 12 anos, parda, sem comorbidades, procurou atendimento dermatológico devido ao surgimento de manchas acastanhas com aspecto de “sujeira”, difusas pelo corpo, de evolução progressiva havia dois anos, que lhe causavam grande impacto social, pois sofria discriminação na escola. Usou cetoconazol creme, mas não houve resposta clínica. Notou que as lesões se tornavam discretamente mais claras após fricção intensa com bucha, porém sem melhoria após lavagem com água e sabão.
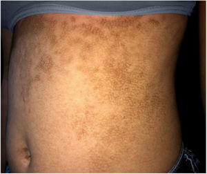
Ao exame dermatológico, apresentava placas acastanhadas, hiperceratóticas de aspecto pontuado, acometiam pescoço, dorso, abdome e, menos evidente, membros inferiores (figs. 1 e 2). Após suspeita de terra firma‐forme, foi feita fricção das lesões com gaze embebida em álcool 70% e houve remoção das placas (fig. 3).
O termo terra firma‐forme surgiu do latim e significa “terra sólida”, também conhecida como dermatose suja de Duncan. Alteração cutânea benigna, idiopática, descrita em 1987,1–3 subdiagnosticada. Por isso, sua prevalência e incidência são desconhecidas.1 Os casos descritos na literatura evidenciam maior acometimento na infância e adolescência.2,3
A patogênese é incerta, mas se atribui a distúrbio de maturação dos queratinócitos, leva à compactação dessas células, associada à melanina, sebo e micro‐organismos na epiderme,1–3 explica a hiperqueratose e a hiperpigmentação clinicamente observadas.
Apresenta‐se com placas e pápulas ligeiramente elevadas, acastanhadas ou enegrecidas, hiperceratóticas e assintomáticas. As lesões são tipicamente localizadas no pescoço, face e tronco, bilaterais ou unilaterais. Acomete pessoas com hábitos de higiene adequados, as lesões não são removidas pela água e sabão.1,2
Quando a condição é suspeitada, a dermatoscopia auxilia, demonstra placas poligonais acastanhadas dispostas em padrão de mosaico,2,3 e o diagnóstico é firmado pela remoção das lesões, fricciona‐se a pele de forma firme e persistente, com algodão embebido em álcool isopropílico 70%.1–4 Possivelmente, o álcool determina a desnaturação das proteínas celulares, interfere no metabolismo celular e dilui as membranas lipoprotéicas,5 desfazendo as lesões. Exames de sangue e biópsias de pele são evitados.4 A avaliação histológica é desnecessária, mas, se feita, observam‐se acantose, papilomatose e hiperceratose lamelar.3
Os diagnósticos diferenciais se fazem com lesões hiperpigmentadas, inclusive papilomatose confluente e reticulada de Gougerot‐Carteaud, semelhante em algumas características, e considerada por alguns autores como variante superficial dessa dermatose. É possível diferenciá‐las pela remoção das lesões com álcool na dermatose terra firma‐forme, além de alguns achados clínicos. A acantose nigricante apresenta‐se normalmente associada a distúrbios metabólicos e a dermatose neglecta é facilmente removida com água e sabão,4 entre outras.1,2
O tratamento consiste na aplicação do álcool isopropílico 70%, porém as lesões podem recidivar.1–4 A pele deve ser lavada com água e sabão após uso do álcool, atenta‐se aos possíveis sintomas de intoxicação, como sonolência, letargia, depressão respiratória, irritação das mucosas e outros, principalmente nas crianças. A absorção através da pele intacta é baixa, mas pode aumentar caso haja exposição prolongada.5 Há relato do uso de ácido salicílico 5%, uma vez ao dia, com boa resposta após duas semanas.3
A família e o paciente devem ser orientados em relação à limpeza da pele em domicílio,1 além da aplicação de emolientes na prevenção de xerose por uso recorrente de álcool.2
O reconhecimento dessa dermatose é importante para serem evitados procedimentos diagnósticos e terapêuticos incompatíveis, além de tranquilizar adolescentes e parentes, reduz o impacto social na vida dos doentes.
Suporte financeiroNenhum.
Contribuição dos autoresBruna Anjos Badaró: Concepção e planejamento do estudo; elaboração e redação do manuscrito; obtenção, análise e interpretação dos dados; participação intelectual em conduta propedêutica e/ou terapêutica de casos estudados; revisão crítica da literatura; revisão crítica do manuscrito.
Lucia Martins Diniz: Aprovação da versão final do manuscrito; concepção e planejamento do estudo; participação efetiva na orientação da pesquisa; participação intelectual em conduta propedêutica e/ou terapêutica de casos estudados; revisão crítica da literatura; revisão crítica do manuscrito.
Paulo Sergio Emerich Nogueira: Participação intelectual em conduta propedêutica e/ou terapêutica de casos estudados; revisão crítica da literatura.
Conflitos de interesseNenhum.




