Paciente do sexo feminino, 36 anos, apresentou lesão pigmentada assintomática no abdome durante o exame de mapeamento corporal total. A paciente não tinha histórico pessoal de câncer de pele, apesar de já ter retirado nevos atípicos.
Clinicamente, a lesão apresentava‐se como pápula acastanhada, medindo aproximadamente 0,8cm, séssil (fig. 1). À dermatoscopia, presença de múltiplos pontos cinza‐azulados em meio à área amorfa acastanhada e discretos vasos finos (fig. 2).
Realizada microscopia confocal de reflectância, exame de imagem in vivo não invasivo a nível celular, que revelou padrão fenestrado, com presença de cordões tumorais refringentes formando anastomoses e ilhotas de células basaloides, circundadas por um estroma fibroso, hiporrefringente. Observaram‐se também células basaloides em paliçada na periferia dos cordões (figs. 3 e 4).
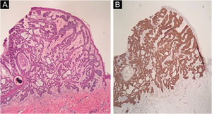
A análise histopatológica foi realizada e confirmou o diagnóstico de fibroepitelioma de Pinkus (FeP), caracterizado por cordões de células tumorais em anastomose, com paliçada periférica, cercando um estroma fibroso (fig. 5A). A imuno‐histoquímica revelou expressão do marcador Ber‐EP4, evidenciando os cordões de células tumorais (fig. 5B). No limite inferior, observaram‐se estruturas denominadas germe‐papila, características do FeP. O arranjo histológico corresponde ao padrão fenestrado visualizado na microscopia confocal, possibilitando o diagnóstico de FeP com segurança por essa técnica.
O FeP é um subtipo específico e incomum de carcinoma basocelular, que pode ser clinicamente semelhante a lesões tumorais benignas, como nevo intradérmico, pólipo fibroepitelial, ceratose seborreica, entre outros, que não são rotineiramente excisados. Classicamente, o FeP apresenta‐se como pápula solitária, cupuliforme, normocrômica ou acastanhada. À dermatoscopia, pode apresentar vasos polimorfos (finos, focados, arboriformes curtos, pontilhados), linhas brancas curtas, cistos semelhantes a mília, áreas cinza‐acastanhadas e pontos cinza‐azulados.1–3
O exame histopatológico é considerado fundamental para o diagnóstico. Descrito por Pinkus como peculiar e inconfundível,4 apresenta filamentos ou cordões anastomosados de células basaloides projetando‐se para baixo, a partir da epiderme, em um padrão fenestrado, cercados por estroma abundante e fibroso. A periferia dos cordões é formada por células colunares, dispostas em paliçada.5,6 A imuno‐histoquímica aplicando o marcador Ber‐EP4 é ferramenta útil para diagnosticar neoplasias com diferenciação germinativa folicular e pode ser utilizada para corroborar o diagnóstico histopatológico.7
A microscopia confocal in vivo apresenta também o padrão fenestrado característico. Ao nível da junção dermoepidérmica observam‐se espaços hiporrefringentes que correspondem ao estroma fibroso, envolto por cordões de células tumorais, com maior refringência. Os cordões e ilhas de células tumorais apresentam células em paliçada na periferia. Vasos canaliculares também podem ser observados.2,3
O FeP é frequentemente subdiagnosticado ao exame clínico. As características clínicas são muitas vezes inespecíficas, e a dermatoscopia pode não ser suficiente para confirmar ou descartar outras hipóteses. No entanto, o padrão específico revelado pela microscopia confocal corresponde às características histopatológicas peculiares do FeP, tornando seu diagnóstico com maior nível de segurança e especificidade possível.5,8
Suporte financeiroNenhum.
Contribuição dos autoresGabriella Campos do Carmo das Chagas: Concepção e o desenho do estudo; levantamento dos dados, ou análise e interpretação dos dados; redação do artigo ou revisão crítica do conteúdo intelectual importante; obtenção, análise e interpretação dos dados; participação efetiva na orientação da pesquisa; participação intelectual em conduta propedêutica e/ou terapêutica de casos estudados; revisão crítica da literatura; aprovação final da versão final do manuscrito.
Júlia Bozetti Lóss: Levantamento dos dados, ou análise e interpretação dos dados; redação do artigo ou revisão crítica do conteúdo intelectual importante; obtenção, análise e interpretação dos dados; participação intelectual em conduta propedêutica e/ou terapêutica de casos estudados; revisão crítica da literatura; aprovação final da versão final do manuscrito.
Gustavo Costa Verardino: Levantamento dos dados, ou análise e interpretação dos dados; redação do artigo ou revisão crítica do conteúdo intelectual importante; obtenção, análise e interpretação dos dados; aprovação final da versão final do manuscrito.
Conflito de interessesNenhum.
Como citar este artigo: Campos‐do‐Carmo G, Lóss JB, Verardino GC. Fibroepithelioma of Pinkus – Confocal microscopy as a diagnostic tool. An Bras Dermatol. 2023;98:850–2.
Estudo realizado no Departamento de Dermatologia, Gávea Medical Center; e no Departamento de Patologia, Microimagem, Rio de Janeiro, RJ, Brasil.






