Hemangioma capilar lobular ou granuloma piogênico é uma proliferação vascular benigna da pele ou mucosa. A maioria dos pacientes apresenta lesão única. Clinicamente, manifesta‐se como tumoração eritematosa, friável e de crescimento rápido. Relata‐se um caso com apresentação exuberante em paciente com espondilite anquilosante, em uso de adalimumabe. Fatores desencadeantes do granuloma piogênico não são bem conhecidos. Podem involuir espontaneamente, porém a maioria requer tratamento.
Hemangioma capilar lobular, também chamado de granuloma piogênico, é um tumor vascular benigno comum da pele e das membranas mucosas. Clinicamente, costuma manifestar‐se como lesão única e de crescimento exofítico, pode ser pedunculado ou séssil, com superfície lobulada ou lisa.1 Pode ocorrer em qualquer idade, embora seja mais comum em crianças e adultos jovens. Os locais acometidos com maior frequência são a gengiva, os lábios, a mucosa nasal, a face e os dedos.1–3
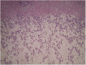
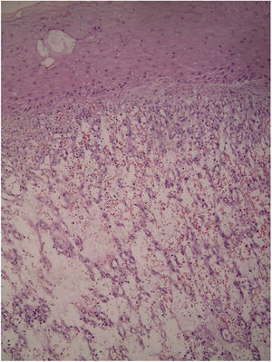
Relato de casoRelatamos um paciente do sexo masculino, 45 anos, portador de espondilite anquilosante, em uso de adalimumabe havia cinco anos. Há quatro meses, notou pápula eritematosa em antebraço direito, que evoluiu com tumoração vegetante, de crescimento rápido, friável, de coloração vermelha, com cerca de 4,5cm de diâmetro (figs. 1 e 2). Queixava‐se de dor e episódios de sangramento espontâneo. Foi feita a exérese da lesão. Exame histopatológico mostrou nódulo ulcerado. Na derme superficial, havia proliferação de pequenos vasos e intenso infiltrado inflamatório de neutrófilos com deposição de fibrila, além de células gigantes de corpo estranho que fagocitavam material exógeno refringente. Na derme profunda, proliferação de vasos capilares dilatados em meio a infiltrado inflamatório plasmocitário e histiocitário, compatível com hemangioma capilar lobular (figs. 3 e 4). O paciente mantém o uso de adalimumabe sem surgimento de novas lesões.
Os fatores desencadeantes do hemangioma capilar lobular não são bem conhecidos e, na maioria das vezes, são considerados uma resposta vascular reativa hiperproliferativa a diversos estímulos, embora também possam surgir em uma pele saudável.1,4 Fatores considerados predisponentes são trauma, infecção, doenças inflamatórias da pele, malformação vascular, oncogenes virais, gravidez, níveis aumentados de hormônios sexuais femininos e neoplasias. O uso de medicações como contraceptivos orais, retinoides, inibidores do fator de crescimento epidérmico, indinavir (inibidor da protease) é associado ao surgimento de hemangioma capilar lobular.3–6 O uso de antagonistas do fator de necrose tumoral (anti‐TNFs) tornou‐se prática comum no tratamento de diversas doenças inflamatórias.7 Há relato de caso na literatura que sugere a associação de granuloma piogênico com uso de etanercepte. O desenvolvimento do hemangioma capilar lobular pode refletir os efeitos de fatores angiogênicos, como o fator de crescimento endotelial vascular (VEGF), que são superexpressos nessa lesão. O TNF‐α é capaz de induzir expressão de queratinócitos, que, por sua vez, regulam positivamente a produção de VEGF. Relatamos um caso de hemangioma capilar lobular provável devido a um medicamento anti‐TNF‐α.8
ConclusãoA maioria dos casos requer alguma intervenção terapêutica. A recorrência local após a excisão incompleta ou crioterapia é frequente. Laser ablativo, shaving associado à eletrocoagulação ou exérese são condutas que mostram bons resultados.
Suporte financeiroNenhum.
Contribuição dos autoresThadeu Santos Silva: Análise estatística; obtenção, análise e interpretação dos dados; participação efetiva na orientação da pesquisa; revisão crítica do manuscrito.
Carlos Leonardo Martins Guimarães: Aprovação da versão final do manuscrito; participação efetiva na orientação da pesquisa; participação intelectual em conduta propedêutica e/ou terapêutica de casos estudados; revisão crítica da literatura.
Isabela Pimenta Xavier: Análise estatística; aprovação da versão final do manuscrito; concepção e planejamento do estudo; elaboração e redação do manuscrito; revisão crítica do manuscrito.
Vitória Regina Pedreira de Almeida Rego: Análise estatística; aprovação da versão final do manuscrito; elaboração e redação do manuscrito; obtenção, análise e interpretação dos dados; revisão crítica da literatura; revisão crítica do manuscrito.
Conflitos de interesseNenhum.
Ao serviço de Patologia do Hospital Universitário Professor Edgard Santos.
Como citar este artigo: Silva TS, Guimarães CLM, Xavier IP, Rego VRPA. Lobular capillary hemangioma in a patient with ankylosing spondylitis under using adalimumab: an exuberant presentation. An Bras Dermatol. 2019;94:751–3.
Trabalho realizado no Serviço de Dermatologia, Hospital Universitário Professor Edgard Santos, Universidade Federal da Bahia, Salvador, BA, Brasil.





