A ictiose epidermolítica anular é um tipo raro de ictiose epidermolítica que se caracteriza por placas eritematodescamativas, policíclicas e migratórias acompanhadas de ceratodermia palmoplantar. Apresentamos o caso de menina de oito anos que desenvolveu placas eritematodescamativas, escamosas e migratórias associadas à ceratodermia palmoplantar. A hipótese inicial foi de eritroqueratodermia variabilis e progressiva; entretanto, o achado de hiperqueratose epidermolítica no exame histopatológico conduziu ao diagnóstico de ictiose epidermolítica anular.
A ictiose epidermolítica anular (IEA) é uma variante fenotípica rara da ictiose epidermolítica (IE), também conhecida por eritrodermia ictiosiforme congênito bolhosa, um distúrbio autossômico dominante caracterizado por eritrodermia extensa e formação de bolhas no início da vida.1–3 Em contraste com a IE, ocorre melhoria dos sintomas clínicos nos primeiros anos de vida e, na continuidade, os pacientes desenvolvem placas policíclicas de caráter migratório, hiperceratóticas, eritematosas e anulares no tronco e nas extremidades, juntamente com ceratodermia palmoplantar.1,4
Relato do casoPaciente do sexo feminino, de oito anos, atendida no ambulatório de dermatologia pediátrica da Santa Casa de Porto Alegre com relato de dermatose difusa iniciada nos primeiros meses de vida. Ao exame, apresentava dermatose constituída por placas eritematodescamativas policíclicas, hiperceratóticas, bem delimitadas, ceratósicas com descamação central e bordas proeminentes, policíclicas, que afetavam mesogástrio, fossas cubitais, fossas poplíteas, regiões inguinais e cervical, além de apresentar hiperceratose palmoplantar e placas hiperceratóticas amareladas no couro cabeludo e introito nasal (figs. 1, 2 e 3A). Não foram identificadas alterações nos cabelos, unhas e mucosas.
(A), Placas eritematodescamativas, hiperceratóticas com bordas proeminentes e geográficas nos braços, antebraços, axilas, lateral do tronco e região umbilical e supraumbilical. (B), Mesma paciente um mês depois, apresentando placas eritêmatodescamativas em toda extensão do braço, antebraço e tórax anterior poupando a região umbilical e supraumbilical.
A paciente não apresentava antecedentes mórbidos relevantes e negava sintomas associados às lesões cutâneas. História familiar de genodermatoses e consanguinidade negativas. Após um mês, houve surgimento de placas eritematodescamativas com bordos pouco definidos e aumento significativo da extensão das áreas afetadas, além do desaparecimento do aspecto policíclico (fig. 3B).
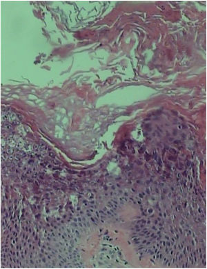
A biópsia de placa na porção extensora do antebraço mostrou acantose, papilomatose e hiperceratose com marcada epidermólise na camada granular (fig. 4).
DiscussãoA IEA foi descrita pela primeira vez em 1992 por Sahn et al.5 e resulta de mutações dominantes nos genes da queratina 1 e da queratina 10.1–7 Indivíduos com essa variante podem apresentar ictiose bolhosa ao nascimento e placas liquenificadas hiperqueratóticas nas áreas de flexão e superfícies extensoras nos primeiros anos de vida.1 Caracteristicamente, também desenvolvem surtos intermitentes de placas anulares e policíclicas, eritematosas e descamativas no tronco e nas extremidades proximais.1,4 Revisamos a bibliografia publicada nos idiomas inglês, português e espanhol desde sua descrição e encontramos 19 casos em 10 publicações, resumidos na tabela 1.1–10
Casos de ictiose epidermolítica anular
| Autores | Caso número | Idade do dignóstico/ sexo | Idade de início e clínica | Tratamento realizados |
|---|---|---|---|---|
| Sahn et al., 1992 | 1 | 30/F | Aos 8 meses de idade, apresentou lesões descamativas severas e intermitentes, associadas a bolhas. Na adolescência, apresentava placas hiperceratóticas nas flexuras e articulações. Aos 27 anos de idade, apresentava placas intermitentes hiperceratóticas, eritematosas, anulares e policíclicas no tronco e na região proximal dos membros, associada à ceratodermia palmoplantar leve com fissuras. | Uso tópico de propilenoglicol a 60% e ácido salicílico a 6%. Parcial resposta. |
| 2 | 2/M (Filho) | Aos 6 meses de idade, apresentou pápulas que evoluíram para bolhas e crostas. Aos 2 anos, apresentava placas hiperceratóticas no pescoço e axilas, além de pápulas eritematosas múltiplas no tronco, extremidades e orelha. Sem relato de ceratodermia palmoplantar. | ||
| Joh et al., 1997 | 3 (Pai) | 33/M | Bolhas disseminadas desde o nascimento. A partir do primeiro ano de vida, placas hiperceratósicas e eritematosas intermitentes associadas a bolhas e prurido até os 16 anos. Aos 31 anos, apresentou novamente quadro de bolhas intermitentes e placas hiperceratósicas nas flexuras, tornozelos e dorso das mãos associado a placas eritematosas migratórias, anulares, policíclicas e descamativas no tronco e região proximal dos membros. Não é relatado ceratodermia palmoplantar. | Acitretina oral 20mg por dia associado topicamente a pomada contendo propilenoglicol e ureia a 5%. Boa resposta. |
| 4 (Filha do 3) | Segundo dia de vida/F | Lesões bolhosas generalizadas e eritema moderado desde o segundo dia após o nascimento. Com 8 semanas, apresentava erosões nas virilhas e região interna das coxas associada à descamação leve do dorso dos pés. Sem relato de ceratodermia palmoplantar. | Não relatado | |
| Suga et al., 1998 | 5 | 11/M | Sem história de bolha. Desde os 7 meses de idade, placas xeróticas nas flexuras e regiões extensoras. Episódios intermitentes de placas eritematosas, escamosas, anulares, e serpinginosas no tronco e flexuras aos 11 anos de idade. Sem relato de ceratodermia palmoplantar. | Não relatado. |
| Michael et al., 1999 | 6,7,8,9 (mesma família) | Não relatado | Bolhas transitórias desde o nascimento. Placas eritematosas intermitentes, psoriasiformes policíclicas não migratórias no tronco associada à ceratodermia palmoplantar. | Uso tópico de corticosteroides, calcipotriol, tazarateno e ácido salicílico. Mínima resposta. |
| Sybert et al., 1999 | 10 | 5/M | Primeiras horas de vida apresentou lesões bolhosas e erosões. Desde os primeiros meses apresentava espessamento palmoplantar intermitente e eritrodermia. Aos 3 anos de idade, placas migratórias e intermitentes, hiperceratóticas, eritematosas no tórax, dorso e flexuras. | Não relatado. |
| 11 (mãe do caso 10) | 18/F | Placas eritematosas intermitentes e migratórias. Eritema e erosões cutâneas desde o nascimento. Hiperceratose palmoplantar intermitente. Caso 12 apresentava episódios de eritrodermia intermitentes. | ||
| 12 (tia do caso 10) | Não relatado/F | Episódios de eritrodermia intermitentes e hiperceratose palmoplantar. | ||
| Yoneda et al., 1999 | 13,14 (mãe e filho) | 48/F | Bolhas disseminadas após o nascimento em ambos os casos com melhora espontânea nos primeiros meses e piora por volta dos 4 anos, com placas migratórias hiperceratóticas e anulares no tronco e extremidades, mantendo esse quadro intermitente até a vida adulta. Sem relato de lesões palmoplantares. | Etretinato sem melhora (não relata a dose). |
| 18 /M | ||||
| Naik et al., 2003 | 15 | 21/F | Sem relato de lesões ao nascimento. Desde o primeiro ano de vida com placas eritematosas policíclicas intermitentes e migratórias no tronco e placas hiperceratóticas, verrucosas e acastanhadas nos joelhos, cotovelos e tornozelos. Ceratodermia palmoplantar intermitente. | Isotretinoína oral, glicocorticoides tópicos e queratolíticos. Tazoroteno tópico com parcial resposta. |
| Jha et al., 2015 | 16 | 26/F | Bolhas disseminadas recorrentes desde o nascimento. Placas hiperceratóticas intermitentes no tronco desde o primeiro ano de vida até os 8 anos de idade. Apresentava placas ceratósicas fixas em flexuras desde a infância até a vida adulta. Após os 23 anos, apresentava placas eritematosas intermitentes, hiperceratóticas, anulares e descamativas no tronco e coxas. Sem relato de lesões palmoplantares. | Acitretin 0,5 mg/kg/dia. Boa resposta após quatro semanas do início do tratamento. |
| 17 | 2° dia de vida/F | Eritrodermia ao nascimento. Nos primeiros meses de vida placas hiperceratóticas, policíclicas, escamosas no tronco e membros. Sem relato de lesões palmoplantares. | Uso de emolientes. | |
| Abdul‐Wahab et al., 2016 | 18 | 25/F | Sem histótia de lesões ao nascimento. História de lesões ictiosiformes nos joelhos, cotovelos e flexuras na infância. Aos 25 anos, placas eritematosas e descamativas e migratórias no tronco e membros. Sem relato de lesões palmoplantares. | Isotretinoína oral em baixa dose com boa resposta. |
| Zaki et al., 2018 | 19 | 5/F | Bolhas disseminadas após o nascimento. Placas eritematosas migratórias e intermitentes, além de placas hiperceratóticas no tronco e flexuras. Hiperceratose e descamação palmoplantar desde os primeiros meses de vida. | Não relatado. |
M, masculino; F, feminino.
Na histopatologia, as lesões hiperceratóticas da IEA revelam hiperqueratose, acantose e camada granular espessada. Os queratinócitos nas camadas espinhosas e granulosas superiores da epiderme podem apresentar vacuolização citoplasmática e grânulos de cerato‐hialina proeminentes.1,2,4,6 Os queratinócitos basais parecem normais, mas o número de mitoses está aumentado. Como achados da microscopia eletrônica, foram descritos filamentos anormais de queratina nos queratinócitos suprabasais, células da camada granular com grânulos aumentados de querato‐hialina e acúmulo de tonofilamentos, mostraram‐se espessados com disposição perinuclear em forma de anel interrompido.4,5
O principal diagnóstico diferencial da ictiose epidermolítica anular é com eritroqueratodermia variabilis progressiva (EKVP),1,2 um distúrbio cutâneo autossômico dominante que também é caracterizado por eritroqueratodermia e placas eritematosas migratórias.1,2,7 O EKVP é tipicamente associado a mutações nas conexinas 30.3, 31 e 43 (GBJ4, GJB3 e GJA1), mas estudos recentes sugerem heterogeneidade genética. As características distintivas do EKVP incluem início durante a infância, ausência de fragilidade epidérmica e histologia sem evidência de epidermólise.1 Ultraestruturalmente na EKVP pode‐se observar diminuição dos queratinossomas na camada granular.2
As opções de tratamento no pequeno número de pacientes relatados incluíram medicamentos tópicos como retinoides, corticoides tópicos, proprilenoglicol, tazaroteno, calcipotrieno e queratolíticos, observou‐se pouca resposta.5,8–10 Três artigos relatam boa resposta com retinoides sistêmicos,6,8 dois artigos citam o uso sistêmico de acitretina com boa resposta3,8 e outro relata boa resposta com baixas doses de isotretinoína.7
Suporte financeiroNenhum.
Contribuição dos autoresEmanuella Stella Mikilita: Aprovação da versão final do manuscrito; concepção e planejamento do estudo; elaboração e redação do manuscrito.
Irina Paipilla Hernandez: Aprovação da versão final do manuscrito; elaboração e redação do manuscrito; obtenção, análise e interpretação dos dados, revisão crítica da literatura.
Ana Letícia Boff: Elaboração e redação do manuscrito; obtenção, análise e interpretação dos dados.
Ana Elisa Kiszewski: Aprovação da versão final do manuscrito; concepção e planejamento do estudo; elaboração e redação do manuscrito; obtenção, análise e interpretação dos dados; participação intelectual em conduta propedêutica e/ou terapêutica de casos estudados; revisão crítica da literatura; revisão crítica do manuscrito.
Conflitos de interesseNenhum.
Como citar este artigo: Mikilita ES, Hernandez IP, Boff AL, Kiszewski AE. Annular epidermolytic ichthyosis: a case report and literature review. An Bras Dermatol. 2020;95:484–9.
Trabalho realizado no Serviço de Dermatologia do Hospital Santa Casa de Misericórdia de Porto Alegre da Universidade Federal de Ciências da Saúde de Porto Alegre, Porto Alegre, RS, Brasil.






