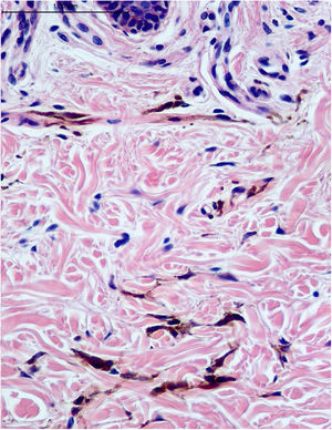
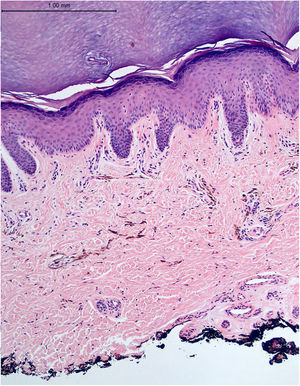
Relatamos o caso de paciente do sexo feminino, branca, de 48 anos, apresentando máculas castanho‐acinzentadas de aspecto rendilhado na palma da mão direita há 20 anos. Ao exame, havia predomínio nas dobras palmares da base do 3°, 4° e 5° quirodáctilos (fig. 1). Mais recentemente (dois a três anos), surgiu quadro semelhante, mais discreto, no dorso da mesma mão (fig. 2). Assintomáticas. Não foram encontrados fatores desencadeantes e de lesões semelhantes contralaterais ou em qualquer outra localização. Paciente não menopausada; negava uso de anticoncepcional oral. Ausência de comorbidades e histórico familiar. Realizada biópsia incisional na palma, que revelou proliferação esparsa e mal delimitada de células fusiformes com grande quantidade de melanina, em disposição perivascular e intersticial na derme reticular (figs. 3 e 4). As células foram positivas para os anticorpos anti S‐100, HMB‐45 e Melan‐A em reação imuno‐histoquímica, concluindo tratar‐se da proliferação de melanócitos.
A melanocitose dérmica se caracteriza por condições que, histologicamente, apresentam melanócitos intradérmicos que se traduzem clinicamente por manchas acastanhadas, acinzentadas e/ou azuladas.1,2 As melanocitoses dérmicas podem ser congênitas, como a mancha mongólica, ou podem surgir após o nascimento ou mais tardiamente, como o nevo de Ota, o nevo de Ito e o nevo azul. O surgimento de lesões na vida adulta é extremamente raro e pouco relatado; quando acontece, costuma se desenvolver em pacientes com outras melanocitoses dérmicas preexistentes.3 A melanocitose dérmica adquirida (MDA) foi proposta originalmente por Hori et al. para lesões identificadas na face e mais comumente em mulheres jovens e de meia‐idade japonesas.4 Subsequentemente, lesões de características semelhantes foram sendo descritas em topografias extrafaciais, incluindo tronco e extremidades.2,3,5 No presente caso, a paciente apresentava clínica e histopatologia clássicas de MDA, confinada à mão direita, de surgimento tardio e sem fatores desencadeantes identificados, indo ao encontro dos achados de Fukuda et al. e Nakauchi et al.3,5 Na literatura, a MDA das mãos apresenta lesões relativamente menores se comparadas às lesões de face e tronco, e tende a localizar‐se nas linhas palmares e justarticulares,5 achados esses também detectados em nossa paciente.
A etiologia da MDA permanece desconhecida, mas algumas hipóteses já fora aventadas: a) queda de melanócitos epidérmicos; b, migração de melanócitos do bulbo capilar; ou c) reativação de melanócitos dérmicos latentes preexistentes por inflamação dérmica, atrofia ou degeneração da epiderme e/ou derme com o envelhecimento, ou outras causas.4 Estrogênios e progestágenos também parecem desempenhar papel relevante no desenvolvimento da MDA, principalmente quando na face, corroborado pela maior ocorrência em mulheres jovens e de meia‐idade pré‐menopausa.1 De qualquer modo, a etiologia parece ser multifatorial, e sua determinação precisa provavelmente difícil.6
Histologicamente, os melanócitos são células localizadas na camada basal da epiderme, e o diagnóstico de melanocitose dérmica baseia‐se na presença de melanócitos dendríticos na derme.7 Melan‐A, S‐100 e HMB‐45 demonstram boa especificidade para lesões melanocíticas, podendo ser usados para avaliar a maturação dos melanócitos e ser potenciais marcadores no diagnóstico da MDA.8 A relação da MDA com melanoma encontra‐se raramente discutida na literatura.9
O conhecimento da MDA e da possibilidade de sua ocorrência extrafacial contribuem para a suspeição clínica e o subsequente diagnóstico dessa condição, mostrando‐se de extrema importância frente aos possíveis diagnósticos diferenciais que podem se estabelecer no momento da consulta, incluindo melanoma lentiginoso acral, nevo azul tipo placa, mancha mongólica ectópica e hiperpigmentação pós‐inflamatória.10
Estimulamos novos relatos de MDA restrita à mão, sedimentando seu conhecimento pela classe dermatológica, e estudos mais aprofundados que corroborem para a elucidação da etiologia dessa rara condição.
Suporte financeiroNenhum.
Contribuição dos autoresLucas Braga Leite: Aprovação da versão final do manuscrito; elaboração e redação do manuscrito; obtenção, análise e interpretação dos dados; revisão crítica da literatura; revisão crítica do manuscrito.
Flávia Regina Ferreira: Aprovação da versão final do manuscrito; elaboração e redação do manuscrito; obtenção, análise e interpretação dos dados; participação efetiva na orientação da pesquisa; participação intelectual na conduta propedêutica e/ou terapia de casos avaliados; revisão crítica da literatura; revisão crítica do manuscrito.
Márcia Lanzoni de Alvarenga Lira: Aprovação da versão final do manuscrito; elaboração e redação do manuscrito; obtenção, análise e interpretação dos dados; revisão crítica da literatura; revisão crítica do manuscrito.
Conflito de interessesNenhum.





