Tricoblastomas (TB) são tumores benignos derivados do folículo piloso, com baixo risco de transformação maligna, os quais configuram a neoplasia mais comum que surge a partir do nevo sebáceo de Jadassohn. Caracterizam‐se por neoplasias bifásicas com diferenciação para o epitélio e o estroma germinativo folicular. À histopatologia, apresentam‐se como neoplasias de células basaloides com estroma semelhante ao mesênquima folicular, bem delimitadas, não ulceradas e restritas à derme, havendo numerosas variantes histológicas descritas.1
O melanotricoblastoma é raro, com menos de 10 casos descritos na literatura; é diferenciado do tricoblastoma pigmentado pela proliferação de melanócitos intratumorais.2 O objetivo deste relato é descrever um caso de melanotricoblastoma e realizar revisão da literatura quanto aos aspectos clínicos dos casos descritos até o momento.
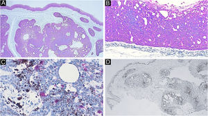
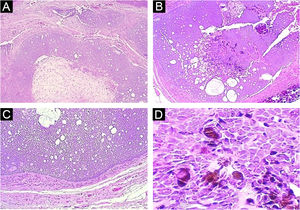
Relato do casoPaciente com 59 anos de idade, do sexo feminino, com relato de lesão de crescimento em um mês, assintomática, no couro cabeludo, sem presença de nevo sebáceo associado (fig. 1). À dermatoscopia, apresentava algumas telangiectasias arboriformes e único ninho azul ovoide, visível a olho nu. Realizada exérese com hipótese de carcinoma basocelular, espiradenoma e hidradenoma. Ao exame anatomopatológico, foi identificada neoplasia dérmica de células basaloides de aspecto monótono, sem conexão com a epiderme, dispostas em blocos coesos, com áreas císticas, formação de ocasional paliçada periférica e múltiplos focos de pigmentação (fig. 2). Os blocos de células epiteliais estavam envoltos por estroma fibroso hipercelular exibindo numerosas células em fuso sem atipias. Foi identificado artefato em fenda entre o estroma neoplásico e a derme adjacente. Não foi observada calcificação, ulceração e/ou cistos córneos. Para quantificação dos melanócitos e diferenciação de um tricoblastoma pigmentado, foi realizado o estudo imuno‐histoquímico (fig. 3) utilizando contra coloração com magenta para evitar influência do pigmento de melanina na interpretação das lâminas. A neoplasia foi positiva para coquetel de citoceratina (clone: AE1/AE3), e a positividade para Melan‐A (clone A103) destacou a presença de numerosos melanócitos intratumorais. Realizada também marcação para Ki‐67, que evidenciou positividade esparsa em células predominantemente na periferia do tumor.
(A) Visão panorâmica: note a ausência de conexão com a epiderme e o componente sólido‐cístico da neoplasia (Hematoxilina & eosina, 40×). (B) Visão panorâmica da porção profunda do tumor com destaque para o aspecto bifásico da neoplasia e foco de pigmentação (Hematoxilina & eosina, 40×). (C) Note a paliçada periférica e o artefato em fenda entre o estroma da neoplasia e a derme adjacente (Hematoxilina & eosina, 100×). (D) No detalhe, as células epiteliais basaloides com intensa pigmentação melânica citoplasmática (Hematoxilina & eosina, 400×)
Estudo imuno‐histoquímico. (A) Positividade difusa para citoceratina. Note a epiderme como controle interno positivo (40×). (B) Citoceratina no detalhe positiva na neoplasia. Note aqui também a paliçada periférica e o artefato em fenda entre o estroma da neoplasia e a derme adjacente (100×). (C) Destaque para os melanócitos positivos para Melan‐A. Note o pigmento melânico acastanhado nas células neoplásicas adjacentes (400×). (D) Marcação para Ki‐67 demonstrando células em fase proliferativa, em distribuição predominante periférica no tumor (40×)
Trata‐se do sexto caso descrito dessa neoplasia na literatura vigente. Ao analisar os dados clínicos dos casos previamente descritos (tabela 1), observa‐se localização preferencial no couro cabeludo, média de idade de 45 anos, maior frequência entre mulheres e rara associação com nevo sebáceo.
Descrição de casos de melanotricoblastoma relatados na literatura
| Referência | Gênero | Idade (em anos) | Localização | Tamanho (cm) | Lesão associada a nevo sebáceo? |
|---|---|---|---|---|---|
| Kanitakis et al., 2002.2 | Feminino | 32 | Couro cabeludo | 2,0 | Não |
| Kim et al., 2011.10 | Masculino | 51 | Dorso | 6,0 | Não |
| Hung et al., 2012.8 | Masculino | 31 | Couro cabeludo | 1,0 | Sim |
| Quist e DiMaio, 2017.7 | Feminino | 25 | Couro cabeludo | 1,5 | Não |
| Mizuta et al., 2021.9 | Feminino | 72 | Perna | 11a | Não |
| Presente caso | Feminino | 59 | Couro cabeludo | 0,8 cm | Não |
Descrita pela primeira vez em 20022 como variante distinta do tricoblastoma, o melanotricoblastoma ainda permanece como entidade pouco conhecida entre dermatologistas e patologistas; o carcinoma basocelular (CBC) pigmentado é seu principal diagnóstico diferencial. Destaca‐se que essa diferenciação se torna importante em virtude do prognóstico e do seguimento.
Estudos em dermatoscopia3 demonstraram que, ao contrário do CBC, 87% dos TB são lesões simétricas, com área azul‐acinzentada homogênea única (em contraste com os múltiplos ninhos ovoides do CBC). Sessenta e um por cento dos TB podem ter telangiectasias arboriformes, e 69,6% podem ter estruturas brancas (crisálides inclusas).3 Em relação à histopatologia, ambas são neoplasias de células basaloides as quais podem apresentar variados padrões arquiteturais: grandes blocos sólidos com áreas císticas, micronódulos, padrão adenoide‐cístico, em cordões etc. No entanto, os tricoblastomas não apresentam conexão com a epiderme, exibem estroma hipercelular característico e artefato em fenda entre o estroma neoplásico e a derme adjacente. Já o CBC geralmente apresenta conexão com a epiderme ou epitélio folicular, estroma com alguma diferenciação mixoide e artefato em fenda entre os blocos epiteliais da neoplasia e a derme.1
Um estudo avaliou a expressão dos genes BRAF, NRAS, KRAS e HRAS, e observou mutação do HRAS tanto em um nevo sebáceo quanto no TB originado dele, indicando possível origem em comum.4 Há casos relatados de múltiplas lesões derivadas do nevo sebáceo, como a syringocystadenoma papilliferum, tricoblastoma, adenoma tubular apócrino, sebaceoma, tumor de infundíbulo folicular e epitelioma com diferenciação sebácea.5 No entanto, a neoplasia deste relato é ainda mais incomum, e sua diferença consiste na proliferação melanocítica intratumoral e não apenas a presença de pigmento.
Há um caso relatado na literatura de melanoma associado a melanotricoblastoma, intitulado tricoblastomelanoma, de uma paciente de 62 anos com lesão de crescimento lento desde a infância, medindo 8cm, com linfonodos axilares associados.6 A presença de uma cápsula fibrosa sugeriu degeneração da lesão para melanoma posterior ao surgimento do TB, e a paciente, após exérese ampla, apresentava dois anos de seguimento sem progressão da doença.6 Nesse caso, foi observada a mutação NRAS, rara mutação presente em melanomas.
Nosso caso se encaixa naqueles citados anteriormente na literatura, de crescimento lento no couro cabeludo, em mulher de 59 anos de idade. No entanto, não se associou a nevo sebáceo nem ceratose seborreica, como descritos anteriormente.2,7–10 Pela nossa revisão, trata‐se do sexto caso relatado.
Permanece em discussão se o melanotricoblastoma seria uma variante ou um sinônimo de tricoblastoma pigmentado, uma vez que apenas após o advento da imuno‐histoquímica foi possível identificar a presença e quantificar os melanócitos nos blocos tumorais. O melanotricoblastoma destaca a forte associação das células epiteliais e melanocíticas presente na estrutura do folículo piloso.
A interação entre queratinócitos e melanócitos no surgimento das lesões neoplásicas ainda é campo pouco explorado e pouco conhecido, e a presença de lesões com mistura desses componentes indica haver importância em se conhecer melhor essa relação, até mesmo num contexto fisiopatológico.
Suporte financeiroNenhum.
Contribuição dos autoresJuliana Polizel Ocanha‐Xavier: Conceito, investigação, seguimento e exérese cirúrgica, escrita – original, revisão e edição.
José Cândido Caldeira Xavier‐Júnior: Investigação, análise histopatológica, escrita – revisão e edição.
Conflito de interessesNenhum.





