As afecções eosinofílicas compreendem grupo heterogêneo de enfermidades caracterizadas por eosinofilia tecidual, podendo ser acompanhada de eosinofilia periférica.1,2 A celulite eosinofílica (síndrome de Wells) é bem conhecida, podendo ser confundida com infecções bacterianas;3,4 seu diagnóstico definitivo é histológico.1 As outras afecções eosinofílicas primárias são o granuloma faciale, a fasciíte (síndrome de Shulman) e a foliculite eosinofílica (doença de Ofuji).2
O aspecto histológico varia de acordo com a fase da enfermidade: na fase aguda há mais eosinófilos; na fase subaguda, histiócitos e flame figures; e na fase crônica predomina a reação granulomatosa.1 As flame figures ocorrem por aderência de material da degranulação eosinofílica ao colágeno, mas nem sempre estão presentes2,5 e ocorrem em outras afecções, como penfigoide, síndrome de Churg‐Strauss, herpes gestacionais, eczema, prurigo, erupção por medicação e mucinose folicular. Para o diagnóstico, é necessária a correlação clínico‐laboratorial.1
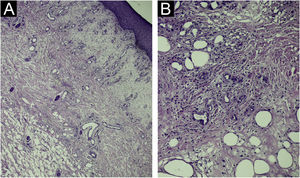
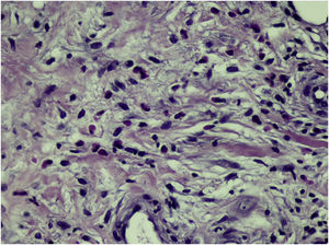
Descrevemos paciente do sexo feminino de 50 anos, bioquímica, que apresentava placa infiltrada eritematosa, com dor local, na perna esquerda com oito semanas de evolução (fig. 1). Após biopsia incisional, evidenciou‐se no exame histopatológico infiltrado inflamatório difuso com edema na derme alta (fig. 2A) estendendo‐se até a junção dermo‐hipodérmica (fig. 2B); com grandes aumentos, observaram‐se muitos eosinófilos no processo inflamatório (fig. 3). Os achados foram consistentes com celulite eosinofílica.
A paciente foi tratada com prednisona oral, dose inicial de 40mg, juntamente com tacrolimo tópico a 0,1%. Houve boa resposta inicial, com diminuição da dor e do eritema. Com a retirada gradativa da prednisona, houve recidiva. Em virtude da refratariedade às intervenções anteriores, foi iniciado dupilumabe subcutâneo, 600mg de dose de ataque seguido por duas doses de 300mg, com intervalo de 15 dias. O tratamento, portanto, foi com apenas quatro seringas de 300mg, pois era a quantidade disponível, uma vez que a paciente tinha dificuldades financeiras para adquirir maior quantidade da medicação.
Houve diminuição gradativa do eritema e da dor nas semanas subsequentes, e depois de 10 meses de seguimento não houve recidiva, permanecendo com hiperpigmentação residual (fig. 1). Não houve paraefeitos ao tratamento.
O tratamento padrão da celulite eosinofílica é corticoide sistêmico; no entanto, recidivas são frequentes com sua suspensão.6 Outras medicações com relatos de eficácia incluem metotrexato,7 colchicina, dapsona, hidroxicloroquina e azatioprina.2
O dupilumabe tem efeito comprovado em várias doenças mediadas por eosinófilos, como a esofagite eosinofílica,8 havendo quatro relatos de seu uso em celulite eosinofílica, três norte‐americanos6,9,10 e um alemão;11 todos os pacientes foram resistentes à terapêutica convencional. Interessantemente, um caso norte‐americano foi tratado apenas com quatro doses, por dificuldade financeira de acesso, e com doses de 200mg (400mg de ataque seguido de duas doses de 200mg, a cada 15 dias), com resposta semelhante ao caso aqui descrito.9
Outros imunobiológicos também já foram relatados com sucesso como: omalizumabe (anti‐IgE) e mepolizumabe (anti‐IL‐5), bem como adalimumabe, um anti‐TNF‐α.1
Dupilumabe tem como alvo o receptor alfa da IL‐4, interferindo na sinalização de IL‐4 e IL‐13 envolvidas na ativação de eosinófilos,9 alternativa relevante no tratamento das enfermidades mediadas por essa célula. Tratamentos curtos possivelmente são suficientes para interromper sua ativação na pele.
Suporte financeiroNenhum.
Contribuição dos autoresHiram Larangeira de Almeida Jr: Aprovação da versão final do manuscrito; concepção e planejamento do estudo; elaboração e redação do manuscrito; obtenção, análise e interpretação dos dados; participação efetiva na orientação da pesquisa; participação intelectual em conduta propedêutica e/ou terapêutica de casos estudados; revisão crítica da literatura; revisão crítica do manuscrito.
Ana Letícia Boff: Aprovação da versão final do manuscrito; concepção e planejamento do estudo; elaboração e redação do manuscrito; obtenção, análise e interpretação dos dados; participação intelectual em conduta propedêutica e/ou terapêutica de casos estudados; revisão crítica da literatura; revisão crítica do manuscrito.
Conflito de interessesNenhum.




