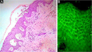
Paciente do sexo feminino, 14 anos, com antecedente de síndrome de Down e aparecimento de lesões disseminadas pelo corpo de início aos 7 anos. Ao exame dermatológico, apresentava pele fototipo IV, com placas eritematosas dispostas de forma anular, sobrepostas por pústulas na periferia, localizadas principalmente no tronco, em regiões de dobras, membros e couro cabeludo, poupando face e mucosas, associadas a prurido (fig. 1). Para elucidação diagnóstica, foi realizada biopsia de pele, cujo exame histopatológico evidenciou dermatite perivascular com pústulas subcórneas. Imunofluorescência direta positiva intercelular para imunoglobulina do tipo A (IgA) e imunofluorescência direta negativa para imunoglobulina do tipo IgG (fig. 2). A paciente foi inicialmente submetida a terapia com prednisolona na dose de 1mg/kg, com resolução do quadro durante o uso da medicação; no entanto, após suspensão, evoluía com o retorno das lesões cutâneas. Foi então iniciada terapia com dapsona na dose de 100mg/dia, da qual a paciente fez uso por um período de cinco anos, com controle parcial do quadro, apresentando múltiplos episódios de piora e infecção secundária das lesões. Optou‐se pela fototerapia com UVB de banda estreita (UVB‐NB) associada a dapsona 100mg/dia, já em uso. Após 36 sessões de UVB‐NB, com realização de duas sessões por semana, na dose cumulativa total de 10,7mJ/cm2, a paciente evoluiu com resolução total do quadro cutâneo, mantendo remissão das lesões após suspensão da fototerapia, com manutenção da dapsona, apresentando apenas máculas hipercrômicas residuais pelo corpo (fig. 3).
O pênfigo por IgA (IGAP) é dermatose bolhosa rara que acomete frequentemente mulheres em idade adulta, pouco comum na faixa etária pediátrica.1,2
Em estudo descritivo de 49 casos de IGAP, as formas mais comuns de apresentação dessa doença são vesículas, pústulas e placas circinadas que podem acometer toda a superfície corporal, mas na grande maioria dos casos, é frequente a presença de lesões no tronco, extremidades e áreas intertriginosas, como descrito no caso.2,3
Histologicamente, o IGAP pode ser divido em dermatose pustular subcórnea e dermatose neutrofílica intraepidérmica. Em metanálise que estudou 136 pacientes com diagnóstico de IGAP, o tipo subcórneo é o mais comum (75,2%) e o mais resistente às terapêuticas convencionais quando comparado ao neutrofílico intraepidérmico. Em análise histopatológica de 116 pacientes com diagnóstico de IGAP, além da deposição intercelular de IgA, todos os pacientes apresentavam infiltrado inflamatório na derme, composto predominante por neutrófilos.2
A paciente em questão foi submetida a tratamento com dapsona por cinco anos, em dose otimizada, sem melhora do quadro. A terapia com UVB‐NB baseou‐se nos relatos da literatura como opção terapêutica para outras dermatoses de curso crônico e imunomediadas, efetivo e seguro para o tratamento na população pediátrica. O uso da fototerapia reduz terapias sistêmicas como corticoterapias, e nessa faixa etária pediátrica apresenta efeitos colaterais leves, localizados e toleráveis.4
A fototerapia com UVB‐NB age diminuindo a ativação das células‐T, a produção de citocinas pró‐inflamatórias e o número de células apresentadoras de antígeno na pele. Além disso, atua aumentando o número de células Treg que secretam citocinas supressoras, o que contribui para a redução da resposta inflamatória na derme, provável mecanismo de ação no tratamento do IGAP.5
Não há consenso na literatura quanto ao tratamento do IGAP. Este trabalho mostra o uso da fototerapia como opção terapêutica na redução de terapias sistêmicas em dermatoses cutâneas extensas na faixa etária pediátrica. Mais estudos se fazem necessários para determinar o mecanismo de ação e o tempo de tratamento com UVB‐NR que possibilitem o controle da doença a longo prazo.
Suporte financeiroNenhum.
Contribuição dos autoresLilian Lemos Costa: Aprovação da versão final do manuscrito; elaboração e redação do manuscrito; concepção e planejamento do estudo; obtenção, análise e interpretação dos dados; revisão crítica da literatura; revisão crítica do manuscrito.
Roberta Buense Bedrikow: Aprovação da versão final do manuscrito; concepção e planejamento do estudo; participação efetiva na orientação da pesquisa; participação intelectual em conduta propedêutica e/ou terapêutica de casos estudados; revisão crítica da literatura; revisão crítica do manuscrito.
Carolina Gonçalves Contin Proença: Aprovação da versão final do manuscrito; concepção e planejamento do estudo; participação intelectual em conduta propedêutica e/ou terapêutica de casos estudados; revisão crítica do manuscrito.
Roberta Facchini Lellis: Aprovação da versão final do manuscrito; concepção e planejamento do estudo; participação efetiva na orientação da pesquisa; revisão crítica do manuscrito.
Conflito de interessesNenhum.




