Tumores glômicos são neoplasias benignas incomuns originadas da estrutura neuromioarterial denominada corpo glômico. Apresentam‐se como pápulas angiomatosas, macias e dolorosas, especialmente ao frio e à pressão. Em geral, são solitários e acometem extremidades, majoritariamente o leito subungueal. Lesões extradigitais são raras e podem representar um desafio diagnóstico. Relata‐se aqui o caso clínico de um paciente com lesão extradigital no braço esquerdo e seus aspectos dermatoscópicos, incluindo lagunas angiomatosas circunscritas por halo pálido – estrutura não descrita previamente nos dois relatos de tumor glômico extradigital com aspectos dermatoscópicos encontrados na literatura.
Paciente do sexo masculino, 35 anos, com queixa de nódulo angiomatoso doloroso na face lateral do braço esquerdo há cerca de oito anos (fig. 1). Relato de piora da dor com exposição ao frio e à digitopressão. O teste de Love foi positivo, e o teste de Hildreth não foi realizado pela dificuldade anatômica em posicionar o torniquete adequadamente.
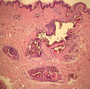
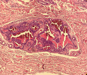
À dermatoscopia, observamos lagunas arroxeadas e circunscritas por um halo pálido ao lado de uma área rosada sem estruturas (fig. 2). Foi realizada exérese cirúrgica da lesão e houve confirmação histopatológica de tumor glômico extradigital (TGE). A histologia evidenciou ninhos intradérmicos de células monomórficas, com núcleo arredondado, organizados em cordões, únicos ou múltiplos ao redor de estruturas vasculares (fig. 3). Ao centro do corte, observamos um desses ninhos com tamanho exuberante em relação aos demais (fig. 4). Não houve recidiva após dois anos de seguimento.
Tumores glômicos (TG) são neoplasias benignas raras do corpo glômico neuromioarterial normal; constituem 1,6% de todos os tumores de tecidos moles.1,2 TG tendem a ser solitários, localizados na região digital (habitualmente subungueal), de coloração azul‐escura a roxa, e acompanhados pela tríade clássica de dor espontânea, hiperalgesia à digitopressão e sensibilidade ao frio.1–4
TGEs correspondem a cerca de 26,7% dos casos de TG, com maior incidência nos pacientes de meia‐idade (média de 48 anos) e do sexo masculino (11:3). Os membros superiores são o local mais frequentemente acometido.1 Nesses casos, a tríade sintomática pode ser incompleta.1,5 Em razão de manifestações clínicas e localizações menos usuais, apenas 20% dos casos recebem o diagnóstico inicial correto.1,2
Diagnósticos diferenciais incluem outros tumores nodulares dolorosos, especialmente espiroadenoma écrino, leiomioma, neurofibroma e dermatofibroma. Além desses, clínica e dermatoscopicamente devem ser diferenciados das lesões angiomatosas, como angiomas e angioceratomas. Exames de imagem, como ultrassonografia e ressonância nuclear magnética, podem auxiliar o diagnóstico clínico.6 Nosso paciente apresentava a tríade completa e exames de imagem complementares não foram necessários.
A dermatoscopia é um método não invasivo que pode auxiliar a condução desses casos.2,3 Entretanto, mesmo quando consideramos a forma clínica mais prevalente, TG digital, há poucos trabalhos referentes aos aspectos dermatoscópicos disponíveis na literatura.7 Após extensa pesquisa bibliográfica, encontramos apenas duas descrições dermatoscópicas de TGE.4,8 Em ambas, é relatada a presença de uma área arroxeada homogênea, sem estruturas, circundada por uma região esbranquiçada.1,4 Contudo, no caso em questão, além dos achados clássicos mencionados, também foram evidenciadas lagunas intensamente arroxeadas destacando‐se individualmente da área rosada sem estruturas e circunscritas por um halo pálido (fig. 2). Após revisão da literatura, não foi encontrada uma descrição prévia desse achado.
Do ponto de vista histológico, os TG apresentam proporções variadas de células glômicas, vasos sanguíneos e músculo liso. São classificados de acordo com essas características nos seguintes subtipos: tumor glômico sólido (TGS), glomangioma ou glomangiomioma.1,6,9
O TGS é composto por ninhos de células glômicas uniformes e agrupados, sem vascularização proeminente ou tecido muscular liso exuberante. Os tumores com diferenciação e presença importante de tecido muscular liso são subclassificados como glomangiomiomas. Os glomangiomas apresentam ninhos intradérmicos de células glômicas, monomórficas, com núcleo arredondado, organizados em cordões, únicos ou múltiplos ao redor de estruturas vasculares exuberantes.1,2,4,6 A descrição é compatível com a do caso em questão (fig. 3). A prevalência de glomangiomas é maior dentre os tumores extradigitais.1
O achado dermatoscópico, área arroxeada sem estruturas, descrito anteriormente na literatura, foi encontrado em lesões de TGS formados por uma massa tumoral coesa com componente celular mais abundante em relação aos espaços vasculares. Essa organização histológica se reflete no achado dermatoscópico encontrado.4 Nos glomangiomas, as grandes estruturas vasculares circundadas por cordões celulares delicados podem se distanciar e destacar individualmente (fig. 4), originando as lagunas arroxeadas descritas por este trabalho. Logo, acreditamos que seja não apenas um achado dermatoscópico associado aos TGE, mas também que indique um subtipo específico: o glomangioma. Apesar da limitação das conclusões a partir deste único caso, esse novo achado dermatoscópico pode complementar a investigação e aumentar a acurácia do diagnóstico dos TGE.
Suporte financeiroNenhum.
Contribuição dos autoresLucas Campos Garcia: Aprovação da versão final do manuscrito; elaboração e redação do manuscrito; revisão de literatura; revisão crítica do manuscrito.
Ethel Nunes de Sousa Fernandes: Aprovação da versão final do manuscrito; elaboração e redação do manuscrito; revisão crítica da literatura.
Natália de Paiva Sobreira: Aprovação da versão final do manuscrito; elaboração e redação do manuscrito; revisão crítica da literatura.
Flávia Vasques Bittencourt: Aprovação da versão final do manuscrito; revisão crítica da literatura; revisão crítica do manuscrito.
Conflito de interessesNenhum.
Como citar este artigo: Garcia LC, Fernandes EN, Sobreira NP, Bittencourt FV. Extradigital glomus tumor: dermoscopic description and histopathological correlation. An Bras Dermatol. 2021;96:765–7.
Trabalho realizado no Hospital das Clínicas, Universidade Federal de Minas Gerais, Belo Horizonte, MG, Brasil.





