O carcinoma do sulco mamário é uma variante muito rara do carcinoma de mama, no qual as lesões cutâneas geralmente são o sinal de apresentação inicial. Este é o relato de uma mulher de 88 anos com placa exofítica no sulco mamário com aproximadamente dez anos de evolução. Os exames histopatológicos e imuno‐histoquímicos confirmaram o diagnóstico de carcinoma de mama infiltrativo (variante carcinoma do sulco mamário). Este caso destaca o importante papel do dermatologista no diagnóstico precoce dessa rara variante do câncer de mama.
Uma mulher de 88 anos nos foi encaminhada para avaliação de uma lesão cutânea no tórax. A lesão havia surgido 10 anos e cresceu gradualmente. A lesão era assintomática, embora tivesse sangrado várias vezes nos últimos meses. O exame dermatológico revelou uma placa exofítica, firme, infiltrada, eritêmato‐purpúrica, medindo 6 x 4cm no sulco mamário mediano, espalhando‐se tanto para os sulcos inframamários quanto para o abdome superior (fig. 1). A lesão apresentava bordas bem demarcadas, com aspecto de cicatriz. Não havia adenopatias, e nódulos mamários não eram palpáveis.
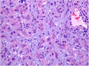
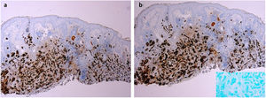
Uma biópsia revelou infiltrado dérmico de células atípicas que formavam pequenos ninhos sólidos dentro de um estroma mixoide. As células tumorais exibiam grandes núcleos, nucléolos proeminentes e citoplasma eosinofílico abundante (fig. 2). Na análise imuno‐histoquímica (fig. 3), as células neoplásicas foram positivas para antígeno da membrana epitelial (EMA), receptores de estrogênio (RE) e receptores de progesterona (RP) e Bcl‐2, mas foram negativas para c‐erbB‐2.
- a)
Carcinoma basocelular
- b)
Dermatofibrosarcoma protuberans
- c)
Carcinoma do sulco mamário
- d)
Carcinoma espinocelular
A paciente foi tratada com radioterapia e hormonioterapia com tamoxifeno, com resultados satisfatórios. Entretanto, quatro anos depois, foi internada com insuficiência respiratória e deterioração progressiva do estado geral. A radiografia do tórax e a tomografia computadorizada mostraram derrame pleural e padrão nodular bilateral compatível com disseminação metastática, e a paciente foi a óbito dois meses depois.
DiscussãoO carcinoma do sulco mamário (CSM) é uma variante incomum do carcinoma de mama, na qual as lesões cutâneas são geralmente o sinal de apresentação inicial.1,2 A verdadeira incidência de CSM é difícil de estimar, embora possa representar cerca de 1% dos cânceres de mama. Apesar de o envolvimento cutâneo ser uma característica marcante do CSM, raramente foi descrito em publicações dermatológicas.
O comprometimento cutâneo precoce nessa variante peculiar do câncer de mama estaria relacionado às características anatômicas do sulco inframamário, o que explicaria a tendência do tumor em invadir a derme ou o músculo subjacente.3,4 Além disso, no CSM, nódulos mamários não são palpáveis e é difícil detectá‐lo na mamografia, em razão de sua localização periférica; portanto, as manifestações cutâneas geralmente são o motivo inicial da consulta nessas pacientes.
Clinicamente, o CSM pode se apresentar como um nódulo ulcerado ou uma placa, lesão polipoide ou verrucosa, e pode simular uma lesão inflamatória, um tumor benigno ou um carcinoma cutâneo.1,2,4–6 Nesse sentido, confundi‐lo com carcinoma basocelular ulcerado ou esclerodermiforme é algo frequente, em decorrência do aspecto clínico e da longa evolução da lesão, mesmo após o exame histopatológico.2,5,6 Nesses casos, apenas a excisão completa e/ou estudo imuno‐histoquímico, como no caso aqui apresentado, tornam possível um diagnóstico definitivo.2,6 No presente caso, a imunomarcação foi positiva para RE, RP e Bcl‐2, mas negativa para c‐erbB‐2, correspondendo a um subtipo luminal A de câncer de mama.
Em resumo, o presente caso destaca o papel do dermatologista no diagnóstico precoce do CSM, o que pode contribuir significantemente para um aumento na sobrevida dessas pacientes.
Suporte financeiroNenhum.
Contribuição dos autoresSonsoles Yáñez‐Díaz: Aprovação da versão final do manuscrito; elaboração e redação do manuscrito; participação intelectual em conduta propedêutica e / ou terapêutica dos casos estudados; revisão crítica da literatura; revisão crítica do manuscrito.
Marcos A. González‐López: Aprovação da versão final do manuscrito; elaboração e redação do manuscrito; revisão crítica do manuscrito.
Conflito de interessesNenhum.
Como citar este artigo: Yáñez‐Díaz S, González‐López MA. Case for diagnosis. An exophytic plaque on the chest. Carcinoma of the mammary crease. An Bras Dermatol. 2021;96:771–3.
Trabalho realizado no Serviço de Dermatologia, Hospital Universitario Marqués de Valdecilla, University of Cantabria, Cantábria, Espanha.




