A doença de Jorge Lobo (DJL) é infecção fúngica crônica, granulomatosa, causada pela implantação traumática do fungo Lacazia loboi nos tecidos cutâneo e subcutâneo, com aparecimento de lesões nodulares isoladas e coalescentes de aspecto queloidiano. A degeneração maligna é rara. Relatamos o caso de um paciente de 64 anos, portador de DJL havia 30 anos, que apresentou mudança do aspecto de uma lesão na perna esquerda. O exame histopatológico confirmou a evolução para carcinoma espinocelular (CEC) bem diferenciado. A DJL é de alta prevalência em regiões tropicais e subtropicais. É necessária vigilância quanto à transformação em CEC em lesões de longa evolução.
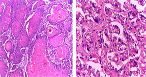
A doença de Jorge Lobo (DJL) é infecção crônica granulomatosa da pele e tecido subcutâneo, sem disseminação visceral, causada pelo fungo Lacazia loboi.1,2 Relatamos o caso de um paciente do sexo masculino, 64 anos de idade, agricultor, portador de DJL havia 30 anos, com tumorações de aspecto queloidiano de variados tamanhos distribuídas por todo o tegumento, associadas a placas verrucosas isoladas (figs. 1 e 2). O paciente estava em tratamento sistêmico com itraconazol havia quatro anos, sem melhora das lesões. Há seis meses, notou alteração no aspecto de uma lesão da perna esquerda que ao exame dermatológico mostrou‐se como extensa placa vegetante, ulcerada, com sangramento a pequenos traumas (fig. 3). Realizada exérese da lesão; exame histopatológico evidenciou carcinoma espinocelular (CEC) bem diferenciado, ceratinizante e ulcerado, adjacente ao processo inflamatório agudo e crônico com células gigantes e abundantes estruturas leveduriformes fúngicas compatíveis com Lacazia loboi (fig. 4). Foi realizado, ainda, linfadenectomia inguinal esquerda, cujo exame anatomopatológico foi compatível com CEC metastático para um dentre 13 linfonodos examinados, com extravasamento capsular. Hemograma e sorologias para vírus das hepatites B e C e HIV foram negativas; tomografias computadorizadas de tórax e abdome resultaram sem alterações. Atualmente, o paciente encontra‐se em acompanhamento na unidade de oncologia de um hospital de referência.
A DJL, descrita em 1931 por Jorge Lobo em paciente procedente da região amazônica, é infecção típica de áreas tropicais e subtropicais, mais comum em homens de 20 a 40 anos.1,2 Pessoas que trabalham em áreas endêmicas e em contato com floresta de vegetação densa, alta umidade e alta temperatura são mais suscetíveis. Clinicamente, a DJL apresenta‐se com lesões cutâneas polimórficas, únicas ou múltiplas, nódulos de aspecto queloidiano ou placas, que são as formas clínica mais frequentes. As lesões podem evoluir com ulceração e infecção secundária. Há possibilidade de disseminação linfática e hematogênica, levando a quadro com múltiplas lesões.2 Cicatrizes antigas e úlceras crônicas de qualquer natureza podem levar ao desenvolvimento de CEC. A degeneração para CEC na DJL foi descrita em poucos casos na literatura mundial e pode ocorrer após longo período de evolução.2–5 Um estudo demonstrou o acometimento de dois indígenas na tribo Caiabi que progrediram com metástases e evoluíram a óbito, mesmo após ressecção cirúrgica.3 No Pará, há relatos na literatura de três pacientes com essa transformação.6 A abordagem terapêutica da DJL permanece desafiadora até os dias atuais. A terapia de escolha depende da expressão clínica, e varia desde antifúngicos sistêmicos, eletrocoagulação, crioterapia até exérese cirúrgica com margens amplas. Em qualquer método, recorrências são frequentes. A utilização de triazólicos, como posaconazol, parece ser promissora.1,2,6 Em geral, o prognóstico é bom, mas com prejuízos estéticos e/ou funcionais. O aparecimento de CEC em lesões crônicas de cicatrizes e úlceras de várias etiologias tem sido relatado por muitos autores; pacientes portadores de doenças granulomatosas crônicas, entre as quais DJL, devem ser incluídos neste contexto, bem como submetidos a maior vigilância das lesões ulceradas e crônicas.3–5
Suporte financeiroNenhum.
Contribuição dos autoresArival Cardoso de Brito: Aprovação da versão final do manuscrito; concepção e planejamento do estudo; participação efetiva na orientação da pesquisa; participação intelectual em conduta propedêutica e/ou terapêutica de casos estudados; revisão crítica da literatura; revisão crítica do manuscrito.
Maraya de Jesus Semblano Bittencourt: Aprovação da versão final do manuscrito; concepção e planejamento do estudo; elaboração e redação do manuscrito; obtenção, análise e interpretação dos dados; participação efetiva na orientação da pesquisa; revisão crítica do manuscrito.
Thainá da Silva Gonçalves: Aprovação da versão final do manuscrito; concepção e planejamento do estudo; elaboração e redação do manuscrito; obtenção, análise e interpretação dos dados; participação efetiva na orientação da pesquisa; participação intelectual em conduta propedêutica e/ou terapêutica de casos estudados; revisão crítica da literatura.
Renata Henriques Cavalcante: concepção e planejamento do estudo; elaboração e redação do manuscrito; obtenção, análise e interpretação dos dados; participação efetiva na orientação da pesquisa; participação intelectual em conduta propedêutica e/ou terapêutica de casos estudados; revisão crítica da literatura.
Conflito de interessesNenhum.
Como citar este artigo: Brito AC, Bittencourt MJS, Gonçalves TS, Cavalcante RH. Jorge Lobo's disease with malignant degeneration to squamous cell carcinoma: case report. An Bras Dermatol. 2022;97:93–5.
Trabalho realizado no Serviço de Dermatologia da Universidade Federal do Pará, Belém, PA, Brasil.





