O líquen nítido (LN) é uma dermatose liquenoide incomum que pode ser definida como a presença de pápulas múltiplas, separadas, brilhantes, puntiformes, pálidas ou cor da pele. O LN palmoplantar é uma variante bastante rara do LN. É difícil fazer um diagnóstico de LN palmar quando não há lesões em outras partes do corpo. Há algumas características dermatoscópicas definidas para LN palmoplantar e não palmoplantar que podem ser úteis para facilitar o diagnóstico antes do exame histopatológico. Este relato descreve o caso de um homem de 24 anos com diagnóstico de LN palmar isolado com características dermatoscópicas e confirmação histopatológica.
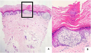
Um homem de 24 anos apresentou pápulas agrupadas assintomáticas, puntiformes e hiperceratóticas na terceira e quarta falanges na face palmar da mão esquerda com duração de quatro anos (fig. 1). Seu histórico médico anterior e histórico familiar não eram significativos. Um exame de corpo inteiro, incluindo mucosa oral e genital, foi normal. O diagnóstico diferencial de nevo comedônico e líquen nítido (LN) foi estabelecido. Com o exame dermatoscópico (DermLite DL4; 3Gen; polarizado, 10×) foram detectadas áreas de depressão central arredondadas a ovoides, em formato de comedão, rodeadas por escamas brancas semelhantes a halo e escamas lineares brancas conectando toda a estrutura (fig. 2). Foi realizada biópsia com punch de 3mm. A histopatologia revelou alguns focos paraceratóticos e hiperceratose em outras áreas. Havia infiltrados linfo‐histiocíticos bem circunscritos na derme papilar, expandindo um pequeno número de papilas dérmicas. Colaretes epidérmicos, isto é cones epidérmicos alongados circundavam os infiltrados subepidérmicos como uma garra (fig. 3A). Havia células gigantes multinucleadas ocasionais dentro dos infiltrados linfo‐histiocíticos. Os focos paraceratóticos estavam localizados logo acima das áreas de epiderme hiperplásica com formato de “ball‐and‐claw” (fig. 3B). Havia linfócitos perivasculares em quantidade mínima ao redor do plexo vascular dérmico superficial. O diagnóstico de LN palmar foi estabelecido com base nos achados clínicos, dermatoscópicos e histopatológicos atuais. O paciente recebeu tratamento tópico ceratolítico, corticosteroide e emoliente e acompanhamento. As lesões melhoraram após o tratamento, com base na avaliação teledermatológica realizada dois meses mais tarde.
O paciente foi avaliado na Clínica de Dermatologia da Afyonkarahisar Health Sciences University Medical Faculty.
DiscussãoO LN é uma dermatose liquenoide incomum que pode ser definida como pápulas múltiplas, separadas, brilhantes, puntiformes, pálidas a cor da pele, com 1 a 2mm de diâmetro. LN geralmente afeta crianças e adultos jovens sem qualquer predileção por sexo. A etiologia da doença é incerta.1 Os locais mais comumente afetados são as áreas flexoras dos membros superiores, dorso das mãos, tronco e genitália.2 LNs localizados apenas nas palmas das mãos, apresentando‐se como pápulas e placas hiperceratóticas, foram raramente relatados.3 É difícil fazer um diagnóstico de LN palmar quando não há lesões em outras partes do corpo. Há algumas características dermatoscópicas definidas para LN palmoplantar e não palmoplantar que podem ser úteis para facilitar o diagnóstico antes do exame histopatológico. Este relato de caso descreve um homem de 24 anos com LN palmar isolado e contribui com a literatura ao enfatizar a importância diagnóstica da descrição dermatoscópica para uma doença tão rara.
LN palmar isolado é uma doença bastante rara que se apresenta como pápulas hiperceratóticas assintomáticas ou ocasionalmente hiperceratóticas, puntiformes e pruriginosas. Park et al. relataram que o envolvimento palmar geralmente parecia acompanhar as lesões de LN em locais típicos e afirmaram que houve apenas quatro casos de LN confinados à palma da mão, incluindo o caso relatado por eles.4 Da mesma maneira, Podder et al. relataram um caso de LN palmar isolado e alegaram que aquele foi o primeiro caso do leste da Índia.3
Há alguns achados dermatoscópicos definidos para LN na literatura. Essas características são bastante diferentes entre a variante palmoplantar e o LN clássico. Ausência de dermatóglifos, cristas radiadas, áreas de depressão central no modo luz não polarizada; hipopigmentação mal definida com eritema difuso e vasos lineares no modo luz polarizada foram observados no LN clássico.5 Malakar et al. indicaram que a dermatoscopia do antebraço demonstra múltiplas áreas circulares brancas, bem circunscritas, e uma sombra marrom indistinta refletida através desses círculos brancos.6 Especificamente na variante palmoplantar, foram descritas escamas paralelas lineares interrompidas por depressões ovais bem definidas e rodeadas por escamas brancas‐prateadas em forma de anel.7 No caso aqui relatado, foram observadas depressões centrais ovoides, semelhantes a comedões, circundadas por escamas brancas semelhantes a halo e escamas brancas comunicantes mais espessas, paralelas ao longo eixo das estruturas ovoides.
As principais características histopatológicas do LN são infiltrado bem circunscrito de linfócitos, macrófagos, células gigantes tipo Langhans e histiócitos epitelioides multinucleados na derme papilar cercados por uns cones epidérmicos alongados.1,2 Esses infiltrados linfo‐histiocíticos subepidérmicos são chamados de áreas em forma de “ball‐and‐claw”.5 Houve achados histopatológicos semelhantes no caso aqui relatado.
A presença de estruturas brancas, bem demarcadas, semelhantes a halo, provavelmente corresponde à acantose epidérmica na histopatologia, enquanto as depressões centrais semelhantes a sombras marrons são consideradas um reflexo do denso infiltrado inflamatório subjacente composto de linfócitos e células epitelioides.6
Muitas modalidades de tratamento foram tentadas para LN, incluindo corticosteroides tópicos e sistêmicos, anti‐histamínicos, acitretina, UVA, UVB de banda estreita e ciclosporina.8 Contudo, a maioria das lesões era assintomática e limitada a uma pequena parte do corpo, o que não requer tratamento intensivo com efeitos colaterais graves. Foi observada alguma melhora das lesões em tratamento com corticosteroides tópicos e agentes ceratolíticos.
LN palmar isolado é uma doença muito rara que afeta mais comumente pacientes jovens. A dermatoscopia é um método não invasivo, de baixo custo e rápido para diagnosticar a doença, e pode ser utilizada para fazer o diagnóstico e reduzir a necessidade de biópsia.
Este relato de caso foi apresentado como apresentação oral no International Dermatology, Dermatopathology and Esthetics Academy 2020 Congress.
Suporte financeiroNenhum.
Contribuição dos autoresİrem Nur Durusu: Aprovação da versão final do manuscrito; revisão crítica da literatura; obtenção, análise e interpretação de dados; participação efetiva na orientação da pesquisa; participação intelectual em conduta propedêutica e/ou terapêutica de casos estudados; elaboração e redação do manuscrito; concepção e planejamento do estudo.
Dilara Güler: Aprovação da versão final do manuscrito; revisão crítica da literatura; obtenção, análise e interpretação de dados; participação efetiva na orientação da pesquisa; participação intelectual em conduta propedêutica e/ou terapêutica de casos estudados, concepção e planeamento do estudo.
Gülhan Gürel: Aprovação da versão final do manuscrito; revisão crítica da literatura; participação efetiva na orientação da pesquisa; participação intelectual em conduta propedêutica e/ou terapêutica de casos estudados; revisão crítica do manuscrito; concepção e planejamento do estudo
Gülsüm Şeyma Yalçın: Aprovação da versão final do manuscrito; revisão crítica da literatura; participação efetiva na orientação da pesquisa; participação intelectual em conduta propedêutica e/ou terapêutica de casos estudados; concepção e planejamento do estudo.
Conflito de interessesNenhum.




