Paciente do sexo masculino, de 33 anos, solteiro, natural e procedente de Manaus (AM), procurou atendimento por apresentar lesões ulceradas na face, tórax, membros superiores, região glútea e mucosa anorretal (figs. 1 e 2). Referia também, há mais de um mês, febre recorrente, dor anal e tratamento com vários medicamentos, tais como anti‐inflamatórios, antibióticos tópicos e sistêmicos, sem resposta. Não apresentava sintomas neurológicos ou respiratórios. Negava comorbidades.
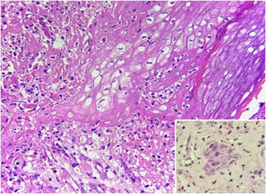
Foram solicitados exames laboratoriais, com os principais resultados: qPCR para Monkeypox ‐ vírus detectável; anti‐HIV ‐ reagente; VDRL ‐ 1:256; análise liquórica ‐ sem achados sugestivos de neurossífilis; colonoscopia ‐ proctite ulcerativa (fig. 1). O exame anatomopatológico de lesão de pele ulcerada evidenciou necrose epidérmica, balonização dos queratinócitos, corpúsculos de inclusão de Guarnieri e infiltrado inflamatório dérmico constituído por histiócitos, linfócitos, neutrófilos (fig. 3).
O tratamento inicial incluiu penicilina benzatina, dose única de 2,4 milhões UI, com posterior decréscimo adequado do VDRL; e antirretroviral (dolutegravir, lamivudina e tenofovir), além de medidas de suporte.
Face à piora das lesões cutâneas, dor anal e extensão do acometimento anorretal, o paciente foi internado em isolamento, submetido a colostomia, e sete dias após internação iniciou tratamento com tecovirimat, 600mg 12/12 horas, por 14 dias.
Aproximadamente 20 dias após início do tecovirimat, associado a antibioticoterapia sistêmica para infecção secundária, observou‐se cicatrização das lesões cutâneas (fig. 2), sem eventos adversos.
A regressão das úlceras cutâneas evoluiu com cicatrizes hipertróficas, principalmente na glabela e região labiomentoniana. Nessa fase, indicou‐se reparo cirúrgico, realizado 10 meses após alta hospitalar.
Procedeu‐se, inicialmente, com exérese e correção da cicatriz labiomentoniana com retalho de avanço e confecção de triângulo de Burow (fig. 4). Posteriormente, corrigiu‐se a cicatriz da glabela.
A Mpox é ocasionada pelo vírus Monkeypox ‐ vírus DNA, de fita dupla, pertencente ao gênero Orthopoxvirus, família Poxviridae. Clinicamente, são observadas lesões vésico‐pustulosas, úlcero‐crostosas ou úlcero‐vegetantes; febre, mialgia, cefaleia e linfadenomegalia podem estar presentes.1–7
A doença é endêmica em países africanos há décadas, provocando surtos ocasionais restritos ao continente. Entretanto, em 2022, e mais recentemente em agosto de 2024, foram registrados surtos epidêmicos internacionais, com disseminação das cepas 2b e 1b respectivamente, tendo a Organização Mundial de Saúde (OMS) declarado a doença como “emergência de saúde pública de importância internacional” em ambos os cenários. A cepa 1b, detectada na República Democrática do Congo, tem se mostrado mais virulenta e letal, com evolução particularmente grave em indivíduos imunocomprometidos, crianças e gestantes. Não há registros de circulação dessa cepa no Brasil até o momento. Desde 2022, foram notificados mais de 10 mil casos confirmados ou prováveis de Mpox no Brasil, incluindo 16 mortes em imunossuprimidos.3,8
Antes dos surtos observados em 2022, admitia‐se que a transmissão estivesse relacionada principalmente ao contato com lesões cutâneas e via respiratória. No entanto, a demonstração do vírus no sêmen e reto indicou transmissão sexual como fator de risco, principalmente entre homens que fazem sexo com homens (HSH); 91% dos pacientes com Mpox são do sexo masculino e mais de 50% são do grupo HSH. Mpox também constitui fator de risco para HIV ‐ a coinfecção ocorre em mais de 40% dos casos.9,10
O paciente do presente caso teve o diagnóstico de HIV+, com linfócitos T‐CD4 de 44 cél/mm3 e carga viral de 94 mil cópias/mL, à época do diagnóstico de Mpox. A história sexual revelou sexo anal desprotegido com outros homens.
Pacientes coinfectados com Mpox e HIV, principalmente com baixa contagem de TCD4+ (< 200 cél/mm3), apresentam duração mais prolongada da doença. As lesões podem ser maiores, com aspecto necrótico, como observado neste caso. Infecções bacterianas, sepse e óbito também podem, ocorrer. Alguns autores consideram a Mpox infecção oportunista ou doença definidora de AIDS.10
O tratamento da Mpox consiste em cuidados gerais e medidas de suporte. Recentemente, em caráter emergencial, o Centro de Controle e Prevenção de Doenças (CDC) autorizou o emprego do tecovirimat, brincidofovir, cidofovir e trifluridina (solução oftálmica). No Brasil, em 2022, a Agência Nacional de Vigilância Sanitária (ANVISA) aprovou o uso compassivo do tecovirimat apenas em casos graves da doença, como no caso relatado. Esse medicamento inibe a proteína VP37, responsável pelo envelopamento de vírions, impedindo a replicação viral. É apresentado em cápsulas com 200mg, para administração oral, na dose de 600mg, 12/12 horas, durante 14 dias, para adultos >40kg. Em adolescentes e crianças, com peso corporal mínimo de 13kg, faz‐se a dose diária de acordo com o peso. Os efeitos adversos mais comuns são cefaleia, náuseas e sintomas gastrintestinais. Não há necessidade de ajuste de dose para hepatopatas; não se recomenda o medicamento para nefropatas com cleareance de creatinina <30mL/min.4,5
A eficácia do tecovirimat contra Mpox foi estabelecida por meio de modelos animais e há dados limitados de segurança e farmacocinética em humanos. Nessas investigações baseadas em animais, o tecovirimat demonstrou capacidade de reduzir significantemente as taxas de mortalidade entre os animais expostos ao Mpox, alcançando taxas de sobrevivência não inferiores a 90%.5
A Mpox ocasiona importante morbimortalidade, principalmente relacionado às cicatrizes inestéticas. A exérese cirúrgica, associada ou não a tratamentos adjuvantes, constitui alternativa terapêutica eficiente, com baixo custo.6,10 No presente caso, fez‐se a exérese das cicatrizes, com resultado satisfatório (fig. 4C).
O aumento de casos de Mpox gerou preocupação das autoridades sanitárias em todo o mundo. Manifestações cutâneas são evidentes, e o papel do dermatologista no diagnóstico precoce é essencial. Medidas de isolamento, controle dos contatos, notificação compulsória, esforços educacionais e de prevenção, juntamente com políticas de saúde pública, são fundamentais para diminuir o risco de disseminação do vírus.
A Mpox configura desafio global, com necessidade de maior conhecimento público da doença e mais estudos relacionados a tratamentos e vacinas específicas.
Suporte financeiroNenhum.
Contribuição dos autoresKananda Kesye Sousa Nunes: Concepção e planejamento do estudo; Elaboração e redação do manuscrito; Revisão crítica da literatura; Revisão crítica do manuscrito; Aprovação da versão final do manuscrito.
Carlos Alberto Chirano Rodrigues: Participação efetiva na orientação da pesquisa; Participação intelectual em conduta propedêutica e terapêutica do caso estudado; Revisão crítica do manuscrito; Aprovação da versão final do manuscrito.
Beatriz Costa Cardoso: Elaboração e redação do manuscrito; Revisão crítica da literatura; Revisão crítica do manuscrito; Aprovação da versão final do manuscrito.
Iêda Lúcia Santos Magno: Elaboração e redação do manuscrito; Revisão crítica da literatura; Revisão crítica do manuscrito; Aprovação da versão final do manuscrito.
Mathias Gama de Aguiar Ferreira: Elaboração e redação do manuscrito; Revisão crítica da literatura; Revisão crítica do manuscrito; Aprovação da versão final do manuscrito.
Sinésio Talhari: Concepção e planejamento do estudo; Elaboração e redação do manuscrito; Participação efetiva na orientação da pesquisa; Participação intelectual em conduta propedêutica e terapêutica do caso estudado; Revisão crítica da literatura; Revisão crítica do manuscrito; Aprovação da versão final do manuscrito.
Conflito de interessesNenhum.
Como citar este artigo: Nunes KKS, Rodrigues CAC, Cardoso BC, Magno ILS, Ferreira MGA, Talhari S. Mpox in a patient with AIDS: clinical management with tecovirimat and surgical correction of unaesthetic scars. An Bras Dermatol. 2025;100:594–7.
Trabalho realizado na Fundação Hospitalar Alfredo da Matta, Manaus, AM, Brasil.





