Paciente de 4 anos, sexo masculino, procedente de zona rural, apresentava placas eritêmato‐descamativas disseminadas, algumas com crostas espessas aderidas e de aspecto vegetante, desde os 3 anos (figs. 1 e 2). Não havia deterioração do estado geral ou histórico familiar relevante. A mãe relatava múltiplas internações prévias em razão de pericardite, pneumonia e infecções cutâneas, além de episódios de candidíase oral e genital.
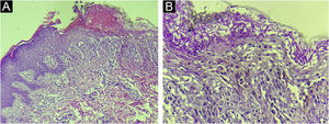
Exames micológicos diretos das lesões cutâneas do tronco e couro cabeludo revelaram a presença de hifas, pseudo‐hifas e leveduras – posteriormente identificadas como Microsporum gypseum e Candida albicans por espectrometria de massa MALDI‐TOF (Matrix‐Assisted Laser Desorption/Ionization Time‐of‐Flight). A biopsia cutânea revelou acantose irregular, espongiose, ceratocrosta e edema dérmico, além de inúmeras hifas e esporos restritos ao estrato córneo (fig. 3). Análise do genoma identificou rara mutação em heterozigose no éxon 7 do gene transdutor de sinal e ativador de transcrição‐1 (STAT1; variante c.501A→C; p.Gln167His).
- a)
Síndrome da imunodeficiência adquirida (AIDS).
- b)
Imunodeficiência combinada grave (SCID).
- c)
Candidíase mucocutânea crônica (CMCC).
- d)
Síndrome de hiper‐IgE (HIES).
O diagnóstico de candidíase mucocutânea crônica (CMCC) por mutação do gene STAT1, além da dermatofitose extensa, foi estabelecido com base na correlação clínico‐laboratorial. Exames complementares, incluindo Coombs indireto, função tireoidiana, sorologia para anti‐HIV I e II, autoanticorpos, dosagem de imunoglobulinas e imunofenotipagem de linfócitos, foram normais. Fluconazol oral foi iniciado, com regressão parcial das lesões (fig. 4).
A CMCC configura um grupo heterogêneo de síndromes raras caracterizadas por infecções persistentes e não invasivas da pele, unhas e mucosas por Candida spp., causadas por defeitos imunológicos primários.1 Mutações de STAT1 do tipo ganho de função estão subjacentes à forma autossômica dominante da doença e resultam em respostas defeituosas das células Th1 e Th17, caracterizadas por produção reduzida de interferon‐γ, interleucina (IL) 17 e IL‐22 – citocinas cruciais para a defesa antifúngica da pele e mucosas.2–4 Que seja do nosso conhecimento, este é o primeiro relato em que a variante detectada é documentada em associação com CMCC.
Tipicamente, nessa forma da doença, surgem placas eritêmato‐descamativas ou crostosas, hiperceratóticas e generalizadas antes dos 5 anos de idade, por vezes acompanhadas de paroníquia, hiperceratose e distrofia ungueais. A mucosa oral é a mais frequentemente acometida, embora as mucosas esofágica, genital e laríngea possam ser afetadas. Além da infecção crônica por Candida, há também maior suscetibilidade a infecções por dermatófitos e bactérias. Ainda, metade dos pacientes tem hipotireoidismo, doença inflamatória intestinal ou citopenias autoimunes associadas.5,6
Análise de genes relevantes, como STAT1, AIRE e CARD9, configura o único teste laboratorial definitivo para o diagnóstico da CMCC. Outras imunodeficiências, incluindo SCID, HIES e AIDS, podem resultar em candidíase crônica, mas quase invariavelmente cursam com infecções invasivas por Candida e características clínico‐laboratoriais adicionais. Na SCID, distúrbios graves no desenvolvimento e na função das células T, B e, por vezes, natural killer resultam em déficit de crescimento, diarreia crônica e infecções graves recorrentes por patógenos virais comuns (como vírus sincicial respiratório, adenovírus e citomegalovírus) e germes oportunistas – que, em geral, levam à morte ainda no primeiro ano de vida. A HIES, por sua vez, é caracterizada por eczema generalizado persistente, abscessos estafilocócicos profundos, infecções por Aspergillus, características dimórficas e fraturas recorrentes, além de níveis elevados de IgE, eosinofilia e mutação no gene STAT3. Por fim, a AIDS se diferencia da CMCC pela sorologia positiva para HIV, contagem reduzida de células T CD4+ e ocorrência de infecções oportunistas.6,7
O tratamento da CMCC envolve controle das infecções e manejo dos distúrbios endócrinos e autoimunes associados. A infecção por Candida pode ser controlada com uso prolongado de antifúngicos azólicos, preferencialmente fluconazol 100‐200mg/dia. Outras terapias foram descritas em relatos isolados para controle do distúrbio imunológico, como transplante de timo e de células hematopoéticas.8 Recentemente, alguns estudos têm mostrado bom controle da doença com uso de inibidores de JAK, incluindo ruxolitinibe e baracitinibe.9,10
Suporte financeiroNenhum.
Contribuição dos autoresNathália Chebli de Abreu: Concepção e planejamento do estudo; obtenção, análise e interpretação de dados; revisão crítica da literatura; elaboração e redação do manuscrito.
Samuel Duarte Timponi França: Revisão crítica da literatura; elaboração e redação do manuscrito.
Hyllo Baeta Marcelo Júnior: Obtenção, análise e interpretação de dados; revisão crítica da literatura; revisão crítica do manuscrito.
Amanda Neto Ladeira: Concepção e planejamento do estudo; obtenção, análise e interpretação de dados; aprovação da versão final do manuscrito; participação intelectual em conduta propedêutica e/ou terapêutica no caso estudado.
Conflito de interessesNenhum.
Os autores agradecem ao Dr Moisés Salgado Pedrosa pela assistência no diagnóstico anatomopatológico e na documentação fotográfica da microscopia.
Como citar este artigo: Abreu NC, França SDT, Marcelo Júnior HB, Ladeira AN. Case for diagnosis. Disseminated erythematous and scaly plaques: chronic mucocutaneous candidiasis. An Bras Dermatol. 2023;98:691–4.
Trabalho realizado no Departamento de Dermatologia, Hospital Infantil João Paulo II e do Hospital Eduardo de Menezes, Belo Horizonte, MG, Brasil.





