Paciente do sexo feminino, 44 anos, com histórico médico de lesões cutâneas assintomáticas cobrindo a face e as orelhas. As lesões iniciaram‐se na puberdade, com número crescente desde então. Havia sido tratada para acne com retinoides tópicos, antibióticos e isotretinoína oral, sem melhora. O exame físico mostrou numerosas pápulas lisas distintas (1‐3mm) da cor da pele concentradas nas regiões bucinadoras e nos pavilhões auriculares (fig. 1A‐C). Não havia história familiar de lesões semelhantes. Biopsia por punch de uma pápula na região bucinadora esquerda foi realizada. A amostra foi encaminhada para exame histopatológico (fig. 2).
- a.
Erupção acneiforme
- b.
Esteatocistoma múltiplo
- c.
Cistos epidérmicos
- d.
Cistos velos eruptivos
Após correlacionar os achados clínicos e histopatológicos, foi estabelecido o diagnóstico de cistos velos eruptivos com envolvimento facial.
Os cistos velos eruptivos são anormalidade folicular benigna rara do desenvolvimento dos folículos pilosos velos, descritos pela primeira vez por Esterly et al. em 1977.1 São mais comumente vistos em crianças, adolescentes ou adultos jovens e afetam igualmente os sexos e etnias. Os cistos velos eruptivos podem ser esporádicos ou herdados (padrão autossômico dominante). Além disso, foram descritas mutações no gene que codifica a queratina 17.1,2
Clinicamente, os cistos velos eruptivos geralmente são observados como pápulas foliculares assintomáticas lisas, da cor da pele a levemente hiperpigmentadas, medindo de 1 a 4mm de diâmetro, com superfície umbilicada centralmente, geralmente afetando tórax, abdome e membros.3,4
O envolvimento facial por cistos velos eruptivos é incomum. Tem sido descrito como lesões maculares, papulosas, normocrômicas ou eritematosas, hiperpigmentares, nevus de Ota‐like, e mesmo unilaterais. Os locais de envolvimento incluem a região frontal, região bucinadora e áreas periorbitais.2 A apresentação clínica muitas vezes não é suficiente para um diagnóstico definitivo, necessitando exame histopatológico.2–4
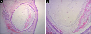
Na histopatologia, os cistos velos eruptivos aparecem como lesões císticas bem circunscritas na derme média e/ou na derme superficial. O epitélio de revestimento da parede do cisto assemelha‐se à porção infundibular ou ístmica do folículo piloso e contém duas a três camadas de epitélio escamoso estratificado, com áreas focais da camada granular. A cavidade do cisto contém quantidade variável de queratina lamelar e numerosos pelos velos cortados transversal e obliquamente. A parede do cisto pode estar em continuidade com um folículo piloso rudimentar ou músculo eretor do pelo. Em geral, não há glândulas sebáceas presentes na parede do cisto.3,4
O diagnóstico diferencial mais relevante para essa apresentação atípica de cistos velos eruptivos é o esteatocistoma múltiplo, que mostra uma sobreposição clínica muito acentuada e pode ser diferenciado apenas pelo exame histopatológico.4,5 Outros diagnósticos diferenciais incluem erupções acneiformes, milia e foliculite.
Embora a resolução espontânea de cistos velos eruptivos tenha sido relatada, o tratamento dessa condição costuma ser desafiador. As opções terapêuticas incluem métodos destrutivos, como dermoabrasão, excisão e lasers ablativos. Ácido láctico tópico, retinoides tópicos e orais e cremes de ureia também foram testados com diferentes graus de sucesso.2,5
Suporte financeiroNenhum.
Contribuição dos autoresDenys Elizabeth Peñaloza Daguer: Elaboração e redação do manuscrito; participação intelectual em conduta propedêutica e/ou terapêutica de casos estudados; concepção e planejamento do estudo.
Alicia Kowalzuck: Participação intelectual em conduta propedêutica e/ou terapêutica de casos estudados.
Mariana Paula Caviedes: Participação intelectual em conduta propedêutica e/ou terapêutica de casos estudados.
Luis Daniel Mazzuoccolo: Revisão crítica da literatura; aprovação da versão final do manuscrito.
Conflito de interessesNenhum.
Como citar este artigo: Peñaloza Daguer DE, Kowalczuk A, Caviedes MP, Mazzuoccolo LD. Case for diagnosis. Unusual involvement of asymptomatic facial papular eruption: eruptive vellus hair cysts. An Bras Dermatol. 2023;98:694–6.
Trabalho realizado no Italian Hospital of Buenos Aires, Caba, Argentina.



