A leiomiomatose múltipla cutânea e uterina (OMIM 150800) é doença hereditária autossômica dominante rara, na qual os pacientes desenvolvem leiomiomas cutâneos e uterinos múltiplos. Cerca de 14% a 30% dos pacientes também desenvolvem carcinomas de células renais unilaterais, solitários e agressivos (geralmente papilífero tipo 2). Consequentemente, alguns autores se referem a essa doença como síndrome de leiomiomatose hereditária e carcinoma de células renais (HLRCC, do inglês hereditary leiomyomatosis and renal cell carcinoma).1 A doença é causada por mutação germinativa heterozigótica do gene que codifica a fumarase (1q42‐q44), também conhecida como fumarato hidratase (FH).1 Os pacientes geralmente morrem em até cinco anos após o diagnóstico,2 portanto, a detecção precoce é vital. Como os leiomiomas cutâneos são uma das manifestações mais constantes dessa doença, os dermatologistas podem ser os primeiros a suspeitar dela. Quando isso ocorrer, devem solicitar a análise genética.
Recentemente, os autores atenderam uma paciente do sexo feminino de 35 anos com histórico de transtorno alimentar (anorexia nervosa) desde os 13 anos, tentativas de suicídio, crises convulsivas, síndrome do intestino irritável, alergia a pólen e asma brônquica, que apresentava mais de 20 nódulos subcutâneos em seu corpo, alguns dos quais eram dolorosos, que ela referia ter desde a adolescência com início gradual.
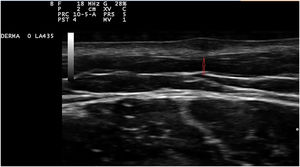
O exame dermatológico revelou a presença de pequenos nódulos elásticos com bordas mal definidas, cobertos por pele levemente hiperpigmentada e de consistência fibroelástica (fig. 1). Alguns apresentavam dor à palpação. A ultrassonografia dos nódulos no braço e na coxa esquerdos revelou lesões hipoecóicas altamente vascularizadas (fig. 2).
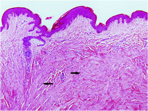
A biopsia excisional revelou lesões com bordas mal definidas compostas por fascículos de células fusiformes entrecruzadas, distribuídas irregularmente na derme, mas sem afetar a parte superior da derme superficial (fig. 3). Suspeitou‐se de HLRCC, e a análise genética confirmou que a paciente apresentava uma mutação p.Arg233Cys no gene FH.
A paciente foi encaminhada para exame ginecológico, o qual detectou múltiplos leiomiomas uterinos. Foi realizada histerectomia (apesar da idade da paciente e de ela não ter filhos). A paciente foi encaminhada para acompanhamento nefrológico, o qual segue sem achados importantes.
O exame de seus familiares revelou que sua mãe e seu tio materno também tinham leiomiomas cutâneos múltiplos. Sua mãe havia sido submetida a histerectomia devido a leiomiomas hemorrágicos quando jovem, depois de ter dois filhos. A análise genética desses parentes revelou que eles carregavam a mesma mutação genética da paciente; até o momento, nenhum deles desenvolveu câncer renal.
A HLRCC é caracterizada pelo desenvolvimento de até três tipos de tumores: piloleiomiomas cutâneos, que são vistos em quase todos os pacientes por volta dos 40 anos; leiomiomas uterinos, que são observados em 70% a 98% das pacientes do sexo feminino3 e geralmente antes da quarta década de vida (média de idade de aparecimento de 30 anos, variando de 18 a 52 anos) e carcinoma papilífero de células renais do tipo 2, que ocorre em cerca de 20% dos pacientes (média de idade de aparecimento, 46 anos, variando de 17 a 75 anos).2 Piloleiomiomas cutâneos geralmente são múltiplos, aparecem em ambos os sexos e em mais de uma área do corpo, embora distribuições mais localizadas tenham sido descritas em alguns pacientes.4 Piloleiomiomas dolorosos foram registrados em cerca de 90% dos pacientes. Essa dor pode ser causada pela isquemia produzida pela contração do músculo liso como reação ao frio, pressão, estresse ou aumento do número de fibras nervosas dentro da lesão.3,5,6 A possível transformação em leiomiossarcoma foi descrita,6 embora isso seja controverso.7 O diagnóstico é confirmado na histopatologia pela presença de feixes não encapsulados e mal definidos de células fusiformes entrecruzadas dispostas em toda a espessura da derme, mas deixando a parte mais superficial da derme superior livre. Avaliação imuno‐histoquímica é positiva para marcadores de músculo liso, incluindo actina e desmina.4 Llamas et al.8 relataram que os piloleiomiomas associados a HLRCC geralmente mostram imunomarcação fraca ou não apresentam imunomarcação para anti‐FH, mas apresentam imunomarcação forte para anti‐2SC.
Os leiomiomas uterinos afetam 76% a 100% das mulheres com mutação gênica para FH.4 O sangramento pode exigir histerectomia em idade precoce.4 Sua transformação em leiomiossarcomas muito agressivos foi descrita.9
Cerca de 20% dos pacientes com HLRCC também podem desenvolver carcinoma de células renais papilífero tipo 22 (o carcinoma renal mais comum nesses pacientes). Geralmente é unilateral (diferente do observada em outras síndromes de câncer renal hereditário, como Von Hippel Lindau ou síndrome de Birt‐Hogg‐Dubé) e tende a ser agressivo.1 Não existe terapia eficiente;2 os pacientes devem passar por avaliações anuais e pequenos tumores renais devem ser removidos cirurgicamente.2,10
A enzima FH participa do ciclo de Krebs, promovendo a transformação do fumarato em L‐malato. Foi proposto que a inativação da FH causa o acúmulo de fumarato nas células em concentração cerca de 200 vezes superior ao normal.11 Isso leva a modificações nos níveis de fator de crescimento endotelial vascular (VEGF, do inglês vascular endothelial growth factor), eritropoetina e transportador de glicose 1, que juntos promovem o crescimento de microvasos e a transcrição de genes envolvidos na sobrevivência e proliferação celular.11 A mutação p.Arg233Cys do gene FH é descrita no banco de dados LOVD (https://databases.lovd.nl/shared/genes/FH) e foi associada a uma perda de 47% na atividade da enzima FH. Entretanto, nem todos os pacientes apresentam o mesmo fenótipo, o que sugere o envolvimento de modificadores genéticos adicionais ou fatores ambientais no desenvolvimento de HLRCC.9 As mutações germinativas do gene FH também foram associadas a tumores de células de Leydig, cistoadenoma mucinoso do ovário, cavernoma cerebral,11 várias manifestações adrenais,2 síndrome de neoplasia endócrina tipo 1, artrite reumatoide, câncer de mama, próstata e bexiga e cistos renais e ovarianos.3
Dada a diversidade de doenças associadas ao HLRCC, foi estabelecido um conjunto de critérios diagnósticos (tabela 1).2 A presença de leiomiomas cutâneos múltiplos é considerada causa suficiente para solicitar a análise genética. Pode ser que os pacientes procurem o médico inicialmente em virtude dessas lesões de pele, deixando o dermatologista em boa posição para detectar essa doença hereditária.
Critérios diagnósticos para HLRCC. Para confirmar o diagnóstico, o critério maior ou dois ou mais critérios menores devem estar presentes
| Critérios diagnósticos para a síndrome HLRCC |
|---|
| Critério maior |
| Múltiplos piloleiomiomas cutâneos confirmados na histopatologia |
| Critérios menores |
| Tratamento cirúrgico dos leiomiomas sintomáticos antes dos 40 anos. Embora os leiomiomas uterinos sejam bastante comuns na população em geral, pacientes com HLRCC podem necessitar de cirurgia antes dos 30 anos. |
| Carcinoma de células renais tipo 2 antes dos 40 anos. |
| Ter um familiar de primeiro grau com um dos critérios acima. |
Nenhum.
Contribuição dos autoresElena González‐Guerra: Aprovação da versão final do manuscrito; revisão crítica da literatura; obtenção, análise e interpretação dos dados; participação efetiva na orientação da pesquisa; participação intelectual em conduta propedêutica e/ou terapêutica de casos estudados; revisão crítica do manuscrito; elaboração e redação do manuscrito; análise estatística; concepção e planejamento do estudo.
Alberto Conde‐Taboada: Aprovação da versão final do manuscrito; revisão crítica da literatura; obtenção, análise e interpretação dos dados; participação efetiva na orientação da pesquisa; participação intelectual em conduta propedêutica e/ou terapêutica de casos estudados; revisão crítica do manuscrito; elaboração e redação do manuscrito; análise estatística; concepção e planejamento do estudo.
José Antonio Cortés Toro: Aprovação da versão final do manuscrito; revisão crítica da literatura; obtenção, análise e interpretação dos dados; participação efetiva na orientação da pesquisa; participação intelectual em conduta propedêutica e/ou terapêutica de casos estudados; revisão crítica do manuscrito; elaboração e redação do manuscrito; análise estatística; concepção e planejamento do estudo.
Eduardo López‐Bran: Aprovação da versão final do manuscrito; revisão crítica da literatura; obtenção, análise e interpretação dos dados; participação efetiva na orientação da pesquisa; participação intelectual em conduta propedêutica e/ou terapêutica de casos estudados; revisão crítica do manuscrito; elaboração e redação do manuscrito; análise estatística; concepção e planejamento do estudo.
Pedro Pérez‐Segura: Aprovação da versão final do manuscrito; revisão crítica da literatura; obtenção, análise e interpretação dos dados; participação efetiva na orientação da pesquisa; participação intelectual em conduta propedêutica e/ou terapêutica de casos estudados; revisão crítica do manuscrito; elaboração e redação do manuscrito; análise estatística; concepção e planejamento do estudo.
Conflito de interessesNenhum.
Como citar este artigo: González‐Guerra E, Conde Taboada A, Cortés Toro JA, López Bran E, Pérez Segura P. Dermatologists might be the first to suspect hereditary leiomyomatosis and renal cell carcinoma syndrome. An Bras Dermatol. 2023;98:696–8.
Trabalho realizado no Hospital Clinico Universitario San Carlos, Madri, Espanha.





