A elastólise da derme papilar do tipo pseudoxantoma elástico é uma doença adquirida do tecido elástico, clinicamente semelhante ao pseudoxantoma elástico, com ausência de comprometimento sistêmico. Histopatologicamente, a coloração especial para fibras elásticas indica uma perda total ou parcial de fibras elásticas na derme papilar. Embora a radiação ultravioleta pareça ser um dos principais fatores etiológicos dessa entidade, os autores relatam um caso de elastólise da derme papilar do tipo pseudoxantoma elástico no pescoço de uma mulher que usava hijab.
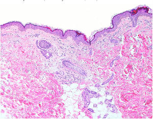
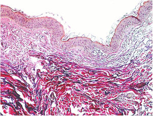
Uma mulher de 54 anos de origem marroquina que usa hijab de forma habitual relatou uma história de 2 anos de lesões levemente pruriginosas no pescoço. Ela negou presença de sintomas sistêmicos ou histórico familiar de achados semelhantes. Seu histórico médico incluía transtorno misto de ansiedade e depressão, tratado com olanzapina e sertralina. O exame físico revelou pápulas não foliculares milimétricas de cor branca a amarelada nas laterais do pescoço e fossa supraclavicular (fig. 1). O exame dermatoscópico evidenciou múltiplas pápulas não foliculares de cor branca, que coalesciam em placas com vasos arboriformes (fig. 2). A biópsia mostrou leve esclerose da derme papilar com neovascularização e um leve infiltrado inflamatório que incluía linfócitos e alguns melanófagos (fig. 3). Na mesma área, a coloração pelo van Gieson demonstrou uma diminuição no número de fibras elásticas, que eram frequentemente finas e fragmentadas (fig. 4), um quadro compatível com elastólise da derme papilar do tipo pseudoxantoma elástico (EDP‐PXE). Os exames cardíacos e oftalmológicos não apresentaram alterações.
A EDP‐PXE é um raro distúrbio adquirido do tecido elástico, caracterizado por pápulas amareladas não foliculares que coalescem em placas, com predileção pelo pescoço, fossa supraclavicular e áreas flexurais.1 As lesões geralmente são assintomáticas, mas leve prurido é relatado em alguns casos, como o presente. Até o momento, ela afeta exclusivamente mulheres, principalmente na meia‐idade,2 e não está associada a comprometimento sistêmico. Os achados dermatoscópicos consistem em várias pápulas não foliculares de cor branca, coalescendo em placas com vasos lineares.3
No estudo histopatológico, a coloração pela hematoxilina‐eosina não apresenta achados específicos. As alterações inflamatórias focais observadas no presente caso não foram descritas anteriormente; no entanto, presume‐se que a perda de fibras elásticas possa ser o resultado de inflamação transitória. Para demonstrar uma perda total ou parcial de fibras elásticas em faixa na derme papilar, faz‐se necessária uma coloração especial para fibras elásticas com a técnica de van Gieson ou a orceína.2 Não se observa calcificação ou fragmentação das fibras elásticas. Estudos imuno‐histoquímicos com anticorpos monoclonais contra o componente anticorpo P também podem demonstrar perda parcial ou completa de fibras elásticas na derme papilar.1 A identificação da presença de melanófagos na derme papilar é um recurso diagnóstico adicional útil.4
A causa da EDP‐PXE permanece incerta. Algumas teorias etiopatogênicas foram propostas: radiação ultravioleta, envelhecimento intrínseco, elastogênese anormal e fatores genéticos ou hereditários.1,2 No presente caso, a teoria etiopatogênica da radiação ultravioleta é improvável, uma vez a paciente usava hijab habitualmente.
O diagnóstico diferencial de EDP‐PXE inclui papulose fibrosa branca do pescoço, elastólise da derme média e elastose da derme papilar. No entanto, o principal diagnóstico diferencial deve ser estabelecido com o pseudoxantoma elástico (PXE), uma doença hereditária causada por mutação no gene ABCC6. Clinicamente, o PXE se assemelha à EDP‐PXE, mas seu surgimento ocorre em uma faixa etária mais baixa e está geralmente associado a complicações oculares e cardiovasculares. Histopatologicamente, o PXE apresenta fragmentação e calcificação das fibras elásticas, demonstradas com a coloração pelo von Kossa.
Os tratamentos para EDP‐PXE, inclusive retinoide tópico, apresentaram resultados insatisfatórios;2 no entanto, a eficácia do resurfacing a laser não ablativo fracionado foi demonstrada em alguns casos.5
É apresentado um caso de EDP‐PXE em uma paciente que não estava exposta à radiação UV devido ao uso de hijab. Os autores acreditam que mais estudos são necessários para melhor compreender a etiopatogênese da EDP‐PXE. É importante que os dermatologistas estejam aptos a reconhecer essa entidade e diferenciá‐la do PXE, para evitar exames desnecessários. A correlação clínico‐patológica é importante e são necessárias colorações especiais para fibras elásticas para um correto diagnóstico da EDP‐PXE.
Suporte financeiroNenhum.
Contribuição dos autoresNuria Setó Torrent: Aprovação da versão final do manuscrito; elaboração e redação do manuscrito; participação intelectual em conduta propedêutica e/ou terapêutica de casos estudados; revisão crítica da literatura; revisão crítica do manuscrito.
Maribel Iglesias Sancho: Aprovação da versão final do manuscrito; revisão crítica do manuscrito.
Jorge Arandes Marcocci: Aprovação da versão final do manuscrito; revisão crítica do manuscrito.
María Teresa Fernández Figueras: Aprovação da versão final do manuscrito; revisão crítica do manuscrito.
Conflitos de interesseNenhum.
Como citar este artigo: Setó‐Torrent N, Iglesias‐Sancho M, Arandes‐Marcocci J, Fernández‐Figueras MT. Pseudoxanthoma elasticum‐like papillary dermal elastolysis in non‐exposed skin. An Bras Dermatol. 2020;95:247–249.
Trabalho realizado no Hospital Universitari Sagrat Cor‐Grupo Quirón Salud, Barcelona, Espanha.





