Pseudomicetoma é uma micose profunda extremamente rara, causada por fungos dermatófitos que penetram no tecido a partir de folículos infectados de tinea capitis. Tanto clínica quanto histologicamente mimetizam eumicetoma, sendo distinguidos por meio do isolamento do fungo, que no caso do pseudomicetoma pode ser do gênero Microsporum sp. ou Trichophyton sp. Apresenta-se o caso de homem de 24 anos com tumoração exuberante e fístulas na região occipital cujo exame histopatológico evidenciou grãos compostos de hifas hialinas e cultura para fungos que isolou Microsporum canis. Feito tratamento combinado de exérese cirúrgica seguida de griseofulvina oral por dois anos, com resolução do quadro.
Homem de 24 anos apresentava lesão tumoral na região occipital. O quadro se iniciou aos dois anos, com áreas de alopecia que evoluíram progressivamente a tumor. Sua primeira consulta foi aos 14 anos, apresentando ao exame clínico tumoração endurecida com ulcerações de fundo granuloso. Abandonou seguimento, retornando dez anos após, com aumento considerável da lesão (fig. 1). A análise micológica de material do raspado de úlcera identificou grãos compostos de hifas hialinas septadas e a cultura para fungos isolou o agente Microsporum canis (fig. 2). O exame histopatológico evidenciou na derme e hipoderme a presença de hifas hialinas septadas que formam agrupamentos de tamanhos variados envolvidos por reação de Splendore‐Hoeppli histiocitária com numerosas células gigantes multinucleadas do tipo corpo estranho, além de exsudato neutrofílico, edema e congestão vascular. Não foram visualizados trajetos fistulizados que promovessem a continuidade entre os grãos e a superfície epidérmica na amostra (fig. 3). Negava uso de qualquer medicação imunossupressora, sua sorologia para HIV era não reagente e não apresentava demais comorbidades. Associou‐se o aspecto clínico aos demais exames complementares e foi confirmado o diagnóstico de pseudomicetoma por Microsporum canis. Submetido à exérese cirúrgica da lesão tumoral e associada griseofulvina oral na dose de 1g por dia durante dois anos. Em seguimento de um ano após o término da griseofulvina, o paciente não apresentou sinais de recidiva (fig. 4).
(A e B), Exame micológico direto em microscopia óptica clareado com KOH 20%. Aumento de 100×, apresenta aglomerados de hifas septadas e aumento de 400×, identifica as estruturas de hifas septadas hialinas. (C e D), Cultura para fungos, evidencia colônia filamentosa branca e agar pigmentado de amarelo e microcultivo com hifas septadas hialinas ao fundo e três macroconídeos ao centro (azul de algodão, 400×).
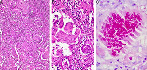
Exame histopatológico. A, Hematoxilina‐Eosina, 100×, identifica grãos circundados por processo inflamatório supurativo e reação linfo‐histiocitária. B, Hematoxilina & eosina, aumento de 200×, observa‐se a estrutura de um grão composto de hifas septadas hialinas rodeado por material eosinofílico (fenômeno de Splendore‐Hoeppli). C, Coloração de PAS, 200×, evidencia a morfologia das hifas.
As formas crônicas inflamatórias e invasivas de dermatofitoses são resultado de uma intensa reação de hipersensibilidade à infecção fúngica, mais frequentes em indivíduos imunocomprometidos,1 e se apresentam clinicamente como kerion celsi, granuloma de Majocchi e pseudomicetoma.2 O pseudomicetoma é uma micose extremamente rara, causada pela penetração de dermatófitos no tecido, a partir da ruptura do epitélio folicular infectado. Ajello et al.3 relataram diversas espécies de dermatófitos produtores de grãos em tecidos, inclusive Microsporum canis, Trichophyton tonsurans e T. mentagrophytes. Segundo esses autores, os agregados de micélios formados pelos dermatófitos seriam de pseudogrânulos e o termo pseudomicetoma deveria ser aplicado a essa infecção dermatofítica profunda.4,5 O agente isolado neste caso foi compatível com o agente de tinea capitis mais frequente no Brasil.6,7
Os aspectos clínicos do pseudomicetoma são semelhantes aos do eumicetoma, porém, ao contrário dos micetomas, os pseudomicetomas são mais comuns no couro cabeludo e não têm antecedente de trauma para sua inoculação.8 Embora as hifas de dermatófitos geralmente sejam mais delicadas do que as dos agentes de eumicetoma nos exames micológicos, o mesmo não acontece nos aglomerados visualizados no exame histopatológico.7–9 Entretanto, histologicamente os micetomas apresentam fístulas através das quais o exsudato fibrinopurulento e os grãos são excretados, enquanto os pseudomicetomas não apresentam esses trajetos.8 Assim, torna‐se válido isolar o agente, obtido neste caso por meio da cultura fúngica. Apesar de mais frequente em pacientes imunossuprimidos, há relatos de casos que acometem pacientes imunocompetentes e nota‐se reação eosinofílica de Splendore‐Hoeppli ao redor dos pseudogrânulos em todos os casos de pseudomicetoma, que evidencia a intensa reação do organismo contra o agente fúngico.4
O tratamento de escolha no pseudomicetoma por M. canis é a excisão cirúrgica da massa fúngica, uma vez que o antifúngico sistêmico não alcança concentrações terapêuticas,8 associada à griseofulvina oral1,6,7 até cura clínica e micológica.
Suporte financeiroNenhum.
Contribuição dos autoresLigia Rangel Barboza Ruiz: Aprovação da versão final do manuscrito; concepção e planejamento do estudo; elaboração e redação do manuscrito; obtenção, análise e interpretação dos dados; participação efetiva na orientação da pesquisa; participação intelectual em conduta propedêutica e/ou terapêutica de casos estudados; revisão crítica da literatura; revisão crítica do manuscrito.
Clarisse Zaitz: Aprovação da versão final do manuscrito; concepção e planejamento do estudo; obtenção, análise e interpretação dos dados; participação efetiva na orientação da pesquisa; participação intelectual em conduta propedêutica e/ou terapêutica de casos estudados.
Rute Facchini Lellis: Participação intelectual em conduta propedêutica e/ou terapêutica de casos estudados.
John Verrinder Veasey: Aprovação da versão final do manuscrito; elaboração e redação do manuscrito; revisão crítica da literatura; revisão crítica do manuscrito.
Conflitos de interesseNenhum.
 
										
				









