A papilomatose confluente e reticulada de Gougerot e Carteaud é dermatose rara, com surgimento normalmente durante a puberdade. Tem predileção pelo sexo feminino e sua patogênese é desconhecida, porém algumas teorias sugerem uma desordem da queratinização ou um distúrbio endócrino. As lesões são pápulas ou lesões verrucosas, acastanhadas, hiperqueratósicas, que coalescem em aspecto confluente e/ou reticulado. No presente relato, apresentamos um caso com extenso acometimento cutâneo, associação com acantose nigricante e boa resposta ao tratamento com metotrexato.
A papilomatose confluente e reticulada de Gougerot e Carteaud (PCER) é caracterizada pela presença de pápulas acastanhadas e verrucosas cujo diâmetro varia de 1‐5mm. São confluentes no centro e apresentam padrão reticulado na periferia, com formação de placas de limites imprecisos, geralmente descamativas. A erupção é assintomática ou levemente pruriginosa.1–3 Apresentamos um caso exuberante de PCER associada a acantose nigricante que apresentou boa resposta ao tratamento com metotrexato.
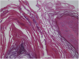
Relato de casoPaciente do sexo masculino, de 13 anos, apresentava desde os 5 anos lesões hipercrômicas, descamativas, levemente pruriginosas, com odor fétido, localizadas no tronco, no abdome, no couro cabeludo e nas regiões cervical e axilar. Já havia sido tratado diversas vezes com acitretina (10mg/dia) e medicações tópicas como retinoides, ácido salicílico e ureia, sem resultados satisfatórios. Estava em tratamento para transtorno depressivo do humor, com uso de sertralina (50 mg/dia) e amitriptilina (25 mg/dia). Ao exame dermatológico, notavam‐se placas acastanhadas de superfície verrucosa e descamativa, confluentes e com padrão reticulado, distribuídas nas faces anterior e posterior do tronco e no couro cabeludo (figs. 1, 2 e 3). Apresentava também hipercromia e placas castanho‐escuras, de aspecto aveludado, nas regiões axilar e cervical. Foram feitas biópsias na região interescapular, as quais evidenciaram papilomatose e camada córnea espessa, de padrão lamelar, com numerosos esporos de Malassezia sp., além de hiperpigmentação melânica dos queratinócitos basais (figs. 4 e 5). Com isso, foi estabelecido o diagnóstico de PCER no tronco e acantose nigricante nas regiões intertriginosas. Foi feita investigação de outras comorbidades, sem achados de alteração hepática, renal e tireoidiana. Foram encontrados valores normais de glicemia, eletroforese de proteínas, colesterol, triglicerídeos, VDRL e sorologias para hepatites B e C e para HIV. Apenas foi diagnosticada intolerância à lactose. A ultrassonografia do abdome constatou esteatose hepática de grau I. A endoscopia digestiva alta não revelou alteração e a pesquisa de Helicobacter pylori foi negativa. O tratamento inicialmente proposto foi mudança dietética, fluconazol (300 mg/semana por três semanas) e doxiciclina (100 mg/dia por um mês), além de creme hidratante, loção de ácido glicólico a 10% e creme contendo 40mg de hidroquinona, 0,5mg de tretinoína e 0,1mg de fluocinolona acetonida nas regiões axilares e cervical. O paciente retornou um mês depois, com melhoria parcial das lesões, e trouxe os resultados dos exames laboratoriais de função hepática, todos dentro da faixa normal para a idade. Diante disso, optou‐se por manter o fluconazol 300mg/semana e as medicações tópicas descritas anteriormente, além de iniciar o uso de metotrexato 15mg/semana e ácido fólico 5mg/semana. O paciente retornou dois meses depois, com redução significativa do número de lesões, além de importante melhoria no aspecto emocional (fig. 6).
A PCER é caracterizada pela presença de placas hiperpigmentadas, assintomáticas, verrucosas, com reticulação periférica, localizadas principalmente nas regiões cervical e axilar e no tronco.1–3 A dermatoscopia pode ser usada na avaliação da PCER, mas seu diagnóstico é estritamente clínico.4,5 Sua patogênese permanece desconhecida, porém algumas teorias foram sugeridas, como a hipótese de se tratar de uma desordem da queratinização, em razão da resposta positiva ao tratamento com retinoides.1 Outra etiologia aventada seria um desequilíbrio endócrino, por causa da resistência insulínica encontrada em alguns casos e da associação com obesidade, diabetes mellitus e outras desordens da hipófise e da tireoide. Uma resposta anormal ao crescimento de leveduras lipofílicas da espécie Malassezia furfur foi igualmente sugerida, pois se encontrou aumento da proliferação desse fungo na microbiota cutânea dos pacientes acometidos pela doença.1 No presente caso, foi encontrado importante crescimento da M. furfur na biópsia feita, o que reforçou a hipótese de PCER. Como diagnóstico diferencial, consideram‐se as hipóteses de doença de Darier, acantose nigricante, pitiríase versicolor e pseudoacantose nigricante.1,2,5 O paciente do caso relatado apresentava acantose nigricante em associação à PCER, com placas mais espessas e aveludadas, sem padrão reticular, nas regiões axilar e cervical, típicas da acantose nigricante, e lesões compatíveis com PCER no tronco. Uma miríade de opções terapêuticas para a PCER está mencionada na literatura. Entre elas, a minociclina e a azitromicina demonstraram bons resultados, porém outras opções, como antibióticos, isotretinoína, acitretina e antifúngicos, também compõem o arsenal terapêutico.1,5,6 Foi relatada resolução espontânea da PCER sem qualquer tratamento, além do controle da doença com a redução do peso.4 No entanto, a opção pelo tratamento conservador para pacientes com PCER é, em grande parte, limitada pelo sofrimento estético e psicológico que a doença causa.5
Apesar de não terem sido encontradas referências na literatura ao uso de metotrexato no tratamento da PCER, o medicamento mostrou‐se uma terapia eficaz no controle da doença. O metotrexato é um antagonista do ácido fólico com efeitos antiproliferativos, o qual impede a síntese de DNA e, assim, inibe a divisão de células tumorais, hematopoiéticas, mucosas e de outras células que proliferam rapidamente.7–9 Além de ser barato, tem sido usado com sucesso nos últimos 40 anos na dermatologia por suas propriedades anti‐inflamatórias, principalmente em razão dos elevados níveis de adenosina, os quais inibem a quimiotaxia de neutrófilos, previnem a explosão oxidativa, melhoram a função de barreira das células endoteliais e inibem a secreção de citocinas pró‐inflamatórias de monócitos e macrófagos.8 Os efeitos colaterais do medicamento incluem mielossupressão, mucosite, dor, diarreia, vômitos, elevação das transaminases hepáticas e, raramente, hepatotoxicidade, teratogenicidade, alopecia, insuficiência renal aguda e toxicidade pulmonar.7–9 Como é um agente imunossupressor com grande perfil de segurança e eficácia para várias doenças (como psoríase moderada a grave, linfoma cutâneo de células T, colagenoses, vasculites, dermatite atópica, doenças bolhosas, granuloma anular disseminado, entre outras) e oferece a vantagem de muitos anos de experiência no manejo de sua toxicidade e de seus efeitos colaterais, novas pesquisas sobre seu mecanismo de ação e sobre a variabilidade enzimática individual podem permitir a ampliação de seu uso e de sua eficácia para outras doenças, como a PCER.8
O presente relato demonstra que, para o tratamento de quadros exuberantes de PCER, além de antibióticos, antifúngicos e retinoicos, o metotrexato pode ser uma escolha. Apesar do efeito bem‐sucedido do metotrexato neste relato, permanece a necessidade de ensaios clínicos randomizados e controlados para estabelecer que ele seja um tratamento eficaz para a PCER.
Suporte financeiroNenhum.
Contribuição dos autoresAlexandra Brugnera Nunes: Concepção e planejamento do estudo; elaboração e redação do manuscrito; obtenção, análise e interpretação dos dados.
Carolina Finardi Brummer: Elaboração e redação do manuscrito; obtenção, análise e interpretação dos dados.
Gabriella Di Giunta Funchal: Aprovação da versão final do manuscrito; participação efetiva na orientação da pesquisa; revisão crítica da literatura; revisão crítica do manuscrito.
Daniel Holthausen Nunes: Participação efetiva na orientação da pesquisa; participação intelectual em conduta propedêutica e/ou terapêutica de casos estudados; revisão crítica da literatura; revisão crítica do manuscrito.
Conflitos de interesseNenhum.
Como citar este artigo: Nunes de Mattos AB, Brummer CF, Funchal GD, Nunes DH. Use of methotrexate in an exuberant case of confluent and reticulated papillomatosis of Gougerot and Carteaud in a teenager. An Bras Dermatol. 2019;94:717–20.
Trabalho realizado no Serviço de Dermatologia, Hospital Universitário Polyodoro Ernani de São Thiago, Universidade Federal de Santa Catarina, Florianópolis, SC, Brasil.







